- 
                            
                            장상피화생이란? 위암 증상 위험 신호건강정보 2025. 7. 31. 20:01반응형 "건강검진에서 처음 듣는 ‘장상피화생’, 위암과 관련 있다면?" 건강검진을 받다 보면 한 번쯤 생소한 의학 용어를 접하게 됩니다. 저도 몇 해 전 위내시경 결과지를 받아들고 '장상피화생'이라는 단어를 처음 접했습니다. 이름부터 낯설고, 설명을 들어도 금세 와닿지 않았던 이 용어는, 시간이 지나고 나서야 위 건강과 밀접한 연관이 있다는 걸 알게 되었죠. 오늘은 저처럼 위 내시경 결과지에 '장상피화생'이라는 진단명을 처음 접한 분들, 또는 그 의미가 궁금한 분들을 위해 이 상태가 무엇을 의미하는지, 증상은 어떠한지, 그리고 위암과 어떤 관계가 있는지를 정리해보려 합니다. 일상 속 건강관리의 중요성을 다시 한번 돌아보는 계기가 되었으면 합니다. 
 목차 - 장상피화생이란 무엇인가
- 장상피화생 증상은 어떻게 나타날까
- 장상피화생 위암과의 관계
- 생활 속에서 실천해 본 위장 관리법
- 정기적인 위내시경의 필요성
 
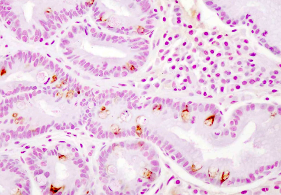
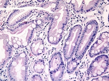
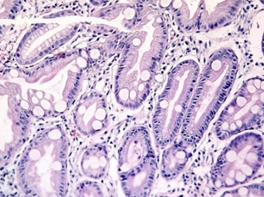
 장상피화생이란 무엇인가 장상피화생은 말 그대로 '장이화(腸異化)'된 위 점막을 뜻합니다. 정상적인 위 점막이 장 점막처럼 변형되는 상태로, 세포의 구조가 위가 아닌 장처럼 바뀌는 세포 변화를 의미합니다. 보통 만성 위염이 오래 지속되면서 위 점막이 점차 손상되고, 그 결과로 장상피화생이 나타나게 됩니다. 이러한 세포 변화는 위의 방어 기능이 약해졌다는 신호로 받아들여질 수 있습니다. 일반적인 위염과 달리, 장상피화생은 점막 세포 자체가 성질을 바꾸는 것이므로 그 자체로도 관리와 추적이 필요한 소견으로 간주됩니다. 특히 위 점막에 반복적으로 자극이 가해지는 생활 습관(과음, 흡연, 짜고 자극적인 음식 섭취 등)은 이러한 변화에 영향을 줄 수 있다고 합니다. 
 장상피화생 증상은 어떻게 나타날까 장상피화생의 가장 특징적인 점은 증상이 거의 없다는 것입니다. 일반적인 위염처럼 소화불량이나 속쓰림을 호소할 수 있지만, 이는 매우 비특이적이어서 단순한 위장 질환과 구분하기 어렵습니다. 많은 경우, 건강검진에서 우연히 발견되는 경우가 많습니다. 저 역시 건강검진에서 처음 이 용어를 들었을 때는 전혀 체감되는 증상이 없었습니다. 다만 되돌아보면 공복 시 속이 쓰리거나, 식후 더부룩함이 잦았던 기억은 있습니다. 그러나 그것이 장상피화생과 직접 연결된 증상이라고는 생각하지 못했죠. 결국 장상피화생은 자각 증상보다는 내시경 소견을 통해 진단되는 경우가 대부분이기 때문에, 위장에 특별한 불편감이 없더라도 정기적인 검진의 중요성이 강조됩니다. 
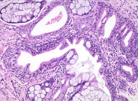
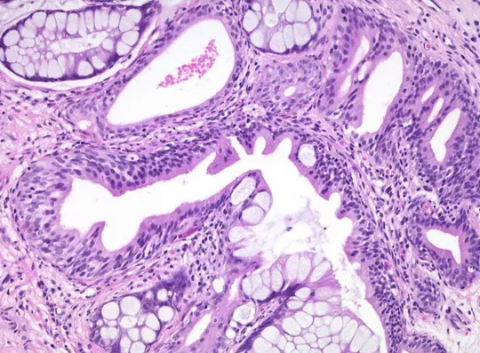
 장상피화생 위암과의 관계 장상피화생은 위암의 전 단계라고 단정 지을 수는 없지만, 의학적으로는 위암의 발생 위험이 증가할 수 있는 전암성 병변으로 분류됩니다. 즉, 위 점막의 구조가 바뀌었다는 것은 위 건강의 균형이 이미 흔들렸다는 신호일 수 있고, 이에 대한 꾸준한 관찰이 중요합니다. 특히 고령, 흡연, 헬리코박터 파일로리균 감염, 위암 가족력 등과 같은 요인이 함께 있는 경우 장상피화생이 위암으로 진행될 가능성이 더 높다는 연구도 있습니다. 실제로 병원에서는 이러한 요인을 기준으로 위내시경 추적 주기를 6개월, 1년, 혹은 2년 단위로 안내하는 경우가 있습니다. 제 경우, 가족력은 없지만 헬리코박터 제균 치료를 받은 적이 있고 만성 위염이 지속돼왔던 터라, 이후에는 1년에 한 번씩 내시경을 받는 루틴을 지키고 있습니다. 처음엔 귀찮기도 했지만, 최근에는 이것이 오히려 심리적 안정감을 주는 요소가 되기도 합니다. 
 생활 속에서 실천해 본 위장 관리법 장상피화생이라는 진단을 접한 이후, 위 건강을 위해 몇 가지 생활습관을 바꿨습니다. 특별한 치료를 한다기보다는, 위에 자극을 줄 수 있는 요소들을 줄이는 방향으로 실천하고 있습니다. 1. 식습관 조절짠 음식과 자극적인 음식 섭취를 줄이고, 가급적 담백하게 식단을 유지하려고 노력합니다. 아침 식사는 반드시 챙기며, 일정한 시간에 식사를 하고, 과식하지 않도록 양을 조절하는 것도 습관이 되었습니다. 2. 식사 후 바로 눕지 않기식사 후 눕는 습관은 위산 역류를 유발할 수 있다는 이야기를 들은 후, 식후 최소 30분은 앉아 있거나 가볍게 걷는 것을 실천하고 있습니다. 3. 커피와 술 제한빈속에 마시는 커피는 위 점막에 부담을 줄 수 있다는 이야기를 들은 뒤, 반드시 식사 후 마시고, 하루 커피 섭취량도 1잔 정도로 제한하고 있습니다. 술 역시 예전보다 현저히 줄였고, 마신 날은 다음 날 식단을 가볍게 조절합니다. 4. 스트레스 관리위장 건강은 심리적 긴장과도 밀접한 관계가 있는 만큼, 규칙적인 운동과 명상, 가벼운 산책으로 스트레스를 줄이는 방향으로 노력하고 있습니다. 
 정기적인 위내시경의 필요성장상피화생은 자각 증상이 없기 때문에, 정기적인 위내시경을 통해 그 진행 상태를 추적하는 것이 핵심입니다. 많은 분들이 내시경을 부담스러워하지만, 몇 분의 불편함으로 위 건강을 조기에 점검할 수 있다면 충분히 가치 있는 선택이라고 생각합니다. 제 경우에는 매년 생일 즈음에 건강검진을 예약해두고, 위내시경을 받는 것을 하나의 루틴으로 만들었습니다. 그렇게 하면 잊지 않고 챙길 수 있고, 매년 기록을 비교하면서 위 상태를 모니터링할 수 있어 심적으로도 든든함이 있습니다. 
  장상피화생은 단순한 위염과는 성격이 다른 변화이며, 위 점막의 구조 자체가 바뀌는 상태입니다. 눈에 띄는 증상이 없기 때문에 자칫 소홀해질 수 있지만, 장상피화생 위암과의 연관성을 고려한다면 더욱 주기적인 점검과 관리가 필요합니다. 장상피화생이란 상태에 대해 정확히 알고, 장상피화생 증상이 잘 드러나지 않더라도 위 건강을 위한 꾸준한 생활 습관과 정기 검진을 이어가는 것이 건강을 지키는 가장 현실적인 방법이라는 생각이 듭니다. 
 이런 글도 읽어보시면 좋습니다 ⬇️ 위축성 위염 치료방법 증상 관련 정리 “위암의 전조일 수 있습니다! 반드시 알아야 할 위축성 위염 증상과 치료방법” 지속적인 소화불량이나 복부 통증을 겪고 계신가요? 이러한 증상들이 단순한 소화 문제로 끝나지 않을 brainhackers.kr 속쓰림 원인 및 증상 식후 유난히 잦은 이유 유난히 평소에 소화가 잘 되지 않는다거나 속쓰림이 심한 분들이 있는데요. 이 속쓰림은 불규칙한 식생활이 만연화된 현대 사회에서는 특히 큰 건강 문제로 자리 잡고 있습니다. 과식을 잦다거 brainhackers.kr 갑자기 살이 빠지는 이유? 놓치면 위험한 5가지 원인 "다이어트를 한 것도 아닌데 살이 빠진다면, 건강의 경고일 수 있습니다."갑자기 살이 빠지는 이유, 알고 계신가요?의도하지 않았는데 몸무게가 급격히 줄어든다면 단순히 좋은 일이라고 넘기기 brainhackers.kr 혈액암 생존율과 원인에 대해 알아보자 '별거 아닌 증상을 무심코 지나쳤다가 혈액암이 되는 것이죠.' 혈액암에 대해서는 많은 분들이 궁금해하지만 올바른 정보를 찾기가 힘든 것이 사실입니다. 대장암이나 위암 같은 경우 그 위치가 brainhackers.kr 반응형'건강정보' 카테고리의 다른 글대변이 토끼똥처럼 동글동글 모양이 알려주는 건강 신호 (6) 2025.08.01 중성지방 이란? 낮추는 음식 TOP5 (1) 2025.08.01 다리에 힘이 빠지는 증상, “갑자기 힘이 없어요 호소 시 체크법” (5) 2025.07.31 쓸개가 없으면 소화는? 그 역할과 건강 관리법 (4) 2025.07.31 손가락 저림 원인, 방치하면 손목터널증후군? (7) 2025.07.31