-
흉부ct로 볼수있는 질환 — 엑스레이로는 놓치는 몸속의 신호건강정보 2025. 11. 11. 19:36반응형

“흉부CT는 보이지 않던 몸속의 신호를 조용히 보여줍니다.”
정기 건강검진이나 가슴 통증으로 병원을 찾을 때, 의사가 “흉부CT를 촬영해보죠”라고 말하면 순간적으로 긴장하게 됩니다. 하지만 흉부CT는 단순히 병을 찾아내는 검사라기보다, 우리 몸이 보내는 미세한 변화를 세밀하게 기록하는 과정이라고 볼 수 있습니다. 특히 흉부ct로 볼수있는 질환은 생각보다 폭넓고, 단순 폐질환뿐 아니라 심장·혈관·종격동까지 포괄합니다.
이번 글에서는 흉부CT의 기본 원리부터 검사로 확인 가능한 질환, 촬영 전후 유의사항, 결과지 이해법까지 차근차근 풀어보겠습니다. 복잡한 의학 용어 대신, 일반인이 건강검진을 준비하는 시선에서 쉽게 읽을 수 있도록 구성했습니다.
목차
- 흉부CT의 원리와 일반 엑스레이와의 차이
- 흉부ct로 볼수있는 질환의 범위
- 조영제 사용과 촬영 전후 주의사항
- 결과지를 읽을 때 알아두면 좋은 포인트
- 흉부CT를 생활 속에서 현명하게 활용하는 방법
흉부CT의 원리와 엑스레이의 차이

CT는 ‘Computed Tomography’의 약자로, 인체의 단면을 수백 장 이상 촬영한 뒤 컴퓨터가 이를 합성하여 입체적인 이미지를 만들어냅니다. 엑스레이는 한 방향에서 찍은 단일 평면 이미지이기 때문에, 가슴 속 구조가 겹쳐 보이는 한계가 있습니다. 반면 CT는 다양한 각도에서 찍은 단층 이미지를 결합하므로, 기관이나 폐 속 병변의 위치와 크기를 훨씬 정확히 확인할 수 있습니다.
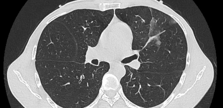
예를 들어 엑스레이에서는 갈비뼈 그림자에 가려진 작은 결절이 보이지 않더라도, CT에서는 뚜렷하게 구분됩니다. 이처럼 세밀한 관찰이 가능하기 때문에, 흉부ct로 볼수있는 질환은 폐렴이나 결핵 같은 감염성 질환을 넘어 종양, 혈관 이상, 심장 주위 구조의 이상까지 포함됩니다.
최근에는 ‘저선량 흉부CT’가 도입되어 방사선 노출량이 크게 줄었으며, 국가건강검진에서도 폐암 고위험군(40세 이상 흡연자)을 대상으로 무료로 시행하고 있습니다. 즉, 기술의 발전 덕분에 더 안전하고 정밀한 검사가 가능해진 셈입니다.
흉부ct로 볼수있는 질환의 범위

흉부CT는 폐를 중심으로 심장, 대동맥, 종격동, 늑막, 흉벽, 기관지까지 폭넓게 확인할 수 있습니다. 단순한 기침이나 호흡곤란부터 흉통, 체중 감소 같은 증상까지 다양한 원인을 탐색하는 데 활용됩니다.
1. 폐질환
흉부CT가 가장 자주 사용되는 영역은 폐입니다. 폐암, 폐결절, 폐렴, 결핵, 기관지 확장증, 폐기종, 폐섬유화증 등 다양한 질환을 세밀히 구분할 수 있습니다. 특히 폐암의 경우 초기에는 증상이 거의 없기 때문에, CT를 통한 조기 발견이 매우 중요합니다. 또한 흡연자의 폐 손상 정도를 평가하거나, 미세한 염증이 반복되는 패턴도 파악할 수 있습니다.
2. 심혈관 질환
흉부CT는 심장의 형태뿐 아니라, 심장 주위의 혈관까지도 함께 관찰할 수 있습니다. 대표적으로 대동맥 박리, 대동맥류, 폐동맥 색전증 같은 질환이 있습니다. 특히 응급 상황에서 흉통 원인을 구분할 때 CT는 빠르고 명확한 판단 근거를 제공합니다.
3. 종격동 질환
폐 사이의 공간인 종격동에는 림프절, 식도, 기관, 흉선 등 여러 장기가 밀집해 있습니다. 이곳에 생기는 종양이나 낭종, 염증성 변화는 X-ray로는 구분이 어렵지만 CT에서는 선명하게 드러납니다. 특히 림프절 비대나 흉선 비대는 면역 질환과 연관될 수 있어 CT 검사가 큰 도움이 됩니다.
4. 흉막 및 흉벽 질환
폐를 둘러싸고 있는 얇은 막을 흉막이라고 합니다. 흉막에 염증이 생기거나, 흉수(가슴에 물이 차는 현상)가 발생한 경우 CT는 액체의 양과 위치를 정밀하게 파악할 수 있습니다. 또한 늑골 골절이나 흉벽 종양, 근육 손상 등 외상 관련 문제도 확인할 수 있습니다.
이처럼 흉부ct로 볼수있는 질환은 단순히 폐질환에 국한되지 않으며, 전신 건강 상태를 평가하는 데 중요한 단서가 됩니다.
조영제 사용과 촬영 전후 주의사항

흉부CT는 조영제를 사용하지 않는 ‘단순 CT’와, 혈관·장기 구분을 위해 조영제를 사용하는 ‘조영 CT’로 나뉩니다. 조영제는 정맥으로 주입되며, 혈류를 따라 이동하면서 특정 부위의 명암을 더 뚜렷하게 만듭니다. 하지만 알레르기 반응이나 신장 기능 저하가 있는 경우 주의가 필요하므로, 이전 경험이나 약물 알레르기를 반드시 의료진에게 알려야 합니다.
촬영 전 준비
조영제를 사용할 때는 보통 4시간 정도 금식이 필요합니다. 금속 장신구, 브래지어의 와이어, 의류의 지퍼 등은 영상에 영향을 주므로 모두 제거합니다. 또한 검사 중에는 숨을 잠시 멈추라는 안내가 있을 수 있으므로, 검사 전에 호흡을 편안히 하는 것이 도움이 됩니다.
촬영 후 관리
조영제를 사용한 경우, 검사 후에는 수분을 충분히 섭취하여 몸 밖으로 빨리 배출되도록 하는 것이 좋습니다. 가벼운 어지럼이나 몸이 따뜻해지는 느낌이 일시적으로 나타날 수 있으나 대부분 금방 사라집니다. 다만 두드러기나 구토 등 이상 증상이 있으면 반드시 병원에 연락해야 합니다.
개인적인 경험으로, 건강검진 때 조영제를 맞은 뒤 하루 종일 물을 자주 마셨던 적이 있습니다. 그 이후 몸이 훨씬 가벼워지는 느낌을 받았고, 의료진이 강조했던 ‘수분 섭취의 중요성’을 실감했습니다. 이처럼 일상적인 관리 하나가 검사 후 회복 속도에 차이를 만들기도 합니다.
CT 결과지를 읽을 때 알아두면 좋은 포인트

CT 판독지는 영상의학과 전문의가 작성하며, 여러 전문 용어가 포함되어 있습니다. “결절(nodule)”, “침윤(infiltration)”, “음영(opacity)” 같은 단어가 자주 등장합니다. 처음 보는 사람에게는 어렵게 느껴지지만, 기본 개념을 알고 읽으면 대략적인 상황을 이해할 수 있습니다.
결절은 작은 혹을 의미하며, 대부분 양성이지만 크기와 형태에 따라 추적 검사가 필요할 수 있습니다. 침윤은 염증이나 감염이 의심되는 상태를 뜻하고, 음영은 비정상적인 조직 밀도를 표현하는 용어입니다. 결국 단어 하나보다는 이전 검사와 비교해 변화가 있는지가 핵심입니다.
예를 들어 작년에 찍은 CT에서는 깨끗했는데 올해 영상에서 새로운 음영이 생겼다면, 그 원인을 파악하는 것이 중요합니다. 이때 같은 병원, 같은 장비에서 정기적으로 촬영하면 변화 추적이 훨씬 용이합니다. 따라서 장기적인 건강 모니터링을 위해서는 정기적인 동일 조건 촬영이 바람직합니다.
흉부CT를 생활 속에서 현명하게 활용하는 방법

흉부CT는 단순히 질병 진단용 검사가 아니라, 생활 습관을 돌아보게 하는 도구이기도 합니다. 예를 들어 흡연자가 금연을 결심하거나, 만성 기침으로 병원을 찾는 계기가 되기도 합니다. 또한 가족 중 폐질환 이력이 있는 경우, 예방적 관점에서 흉부CT를 활용하는 것이 좋습니다.
실제로 저선량 CT는 방사선 노출을 최소화하면서도 폐암, 만성폐쇄성질환(COPD) 등 주요 질환의 조기 발견에 도움을 줍니다. 특히 40세 이상, 30년 이상 흡연한 사람은 매년 정기 촬영을 권장받습니다. CT를 통해 얻은 데이터는 향후 건강관리 방향을 세우는 데 중요한 자료로 사용될 수 있습니다.
단, 무증상이라도 불필요한 과잉 검사는 피해야 하며, 촬영 주기는 전문의 상담을 통해 조율하는 것이 바람직합니다. 검사는 ‘정확히 필요할 때, 필요한 만큼’ 받는 것이 가장 현명한 방법입니다.
정리하며
흉부CT는 우리 몸의 중심부를 세밀하게 관찰할 수 있는 매우 유용한 검사입니다. 폐, 심장, 혈관, 흉막 등 주요 장기를 한눈에 볼 수 있고, 조기 진단뿐 아니라 예방적 관리에도 큰 역할을 합니다. 또한 흉부ct로 볼수있는 질환을 제대로 이해하면, 건강검진 결과를 훨씬 깊이 있게 해석할 수 있습니다.
결국 중요한 것은 영상을 해석하는 의학적 지식보다, 자신의 생활습관을 점검하고 변화의 신호를 놓치지 않는 태도입니다. 정기적인 검진과 꾸준한 관리가 건강의 가장 확실한 보험이 됩니다.
이 글이 유익했다면 아래 글도 참고해보세요 ⬇️
심장 위치 박동 정상수치 알아봐요
'가슴이 아프다면 심장에 문제가 있는 것일까?' 갑자기 찾아온 가슴 통증(흉통), 이런 경우 많은 분들이 심장에 문제가 생긴 건 아닌지 걱정하시곤 합니다. 특히 심장병은 돌연사의 원인이 되는
brainhackers.kr
폐결절이란 원인 수술 치료 핵심 정리
"건강검진에서 발견된 폐결절, 무조건 걱정해야 할까?" 최근 건강검진을 받은 후 '폐결절이 보인다'는 말을 들었습니다. 솔직히 처음엔 무서웠어요. '혹시 큰 병이 아닐까?' 하는 걱정이 들었죠.
brainhackers.kr
폐결절과 폐암 양성 크기 CT 검사 기준 관련 총정리
"폐결절, 무조건 폐암은 아닙니다." 건강검진을 받다가 '폐결절'이라는 말을 들으면 자연스럽게 '폐암'이라는 단어가 떠오릅니다. 저 역시 몇 해 전 검진에서 이 단어를 처음 접했을 때 큰 충격을
brainhackers.kr
반응형'건강정보' 카테고리의 다른 글
들깨가루 팩 효능, 자극 없이 촉촉함을 지키는 피부 관리법 (0) 2025.11.12 입안이 헐었을때 원인과 관리법 (0) 2025.11.12 복숭아와 상극인 음식 조합, 꼭 피해야 할 이유 (1) 2025.11.11 장뇌삼 먹는 방법 가격 제대로 알아야 하는 이유 (0) 2025.11.10 제자리암 이란 질병코드 D00~D09 완전정리 (0) 2025.11.10