-
제자리암 이란 질병코드 D00~D09 완전정리건강정보 2025. 11. 10. 13:22반응형

“암이라지만 치료가 아닌 관리로 접근해야 하는 제자리암, 지금부터 정확히 알아두세요.”
건강검진을 받았다가 예상치 못한 결과로 ‘제자리암’이라는 단어를 마주하는 사람은 의외로 많습니다. 이름에 ‘암’이 들어가 있어 두려움이 앞서지만, 실제로 제자리암은 일반적인 암과는 성격이 다릅니다. 그러나 이를 단순히 ‘양성’이나 ‘위험하지 않다’고 오해하는 것은 좋지 않습니다. 제자리암은 암세포의 초기 형태로, 향후 침윤암으로 발전할 가능성을 내포하고 있기 때문입니다. 오늘은 제자리암 이란 무엇인지, 그리고 제자리암 질병코드가 어떤 의미를 가지는지를 중심으로 의료법을 지키며 알기 쉽게 풀어보겠습니다.
목차
- 제자리암 이란 정확한 정의
- 제자리암 질병코드의 구조와 의미
- 제자리암과 침윤암의 결정적 차이
- 검진과 진단에서 제자리암이 발견되는 이유
- 생활 속 관리와 예방법
- 정기검진과 심리적 준비
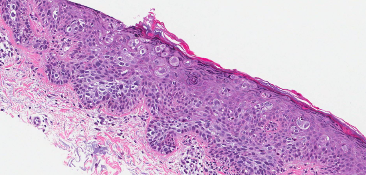
제자리암 이란, 암세포가 자리만 잡은 상태를 뜻합니다

제자리암은 영어로 Carcinoma in situ라고 하며, 말 그대로 ‘제자리에 있는 암’을 의미합니다. 암세포가 생기긴 했지만, 기저막을 뚫지 않아 주변 조직으로 퍼지지 않은 상태를 말합니다. 이 단계에서는 세포가 비정상적으로 변했지만, 혈관이나 림프를 통해 다른 부위로 전이되지는 않습니다.
쉽게 비유하자면, 제자리암은 불씨가 난 초기에 잡은 상황과 비슷합니다. 아직 불이 번지지 않았기 때문에 관리가 가능하다는 뜻이죠. 그렇다고 완전히 안심해서는 안 됩니다. 방치하거나 재검을 소홀히 하면, 이 불씨가 퍼져 큰 화재로 이어질 수 있기 때문입니다.
필자 역시 건강검진에서 ‘비정형세포 의심’이라는 결과를 받고 추가 검사를 진행한 적이 있습니다. 다행히 제자리암 단계에서 발견되어 일상적인 관리와 정기적인 검진으로 추적하고 있습니다. 이런 경험은 제자리암 이란 개념을 단순한 ‘의학 용어’가 아니라 ‘생활 속 경고 신호’로 받아들이게 만들었습니다.
제자리암 질병코드, D00~D09 범위로 분류됩니다

제자리암 질병코드는 국제질병분류(ICD)에 따라 D00~D09 범위로 지정되어 있습니다. 이 코드는 ‘Carcinoma in situ’, 즉 제자리암을 의미하며, 실제 암인 C코드와는 명확히 구분됩니다. 의료기관에서는 이 코드를 통해 진단서를 작성하고, 보험사나 건강보험공단에서도 질병의 단계를 판별하는 기준으로 활용합니다.
구체적으로 살펴보면, 장기별로 다음과 같이 분류됩니다.
- D00: 구강, 인두, 식도 등의 제자리암
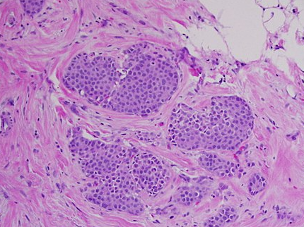
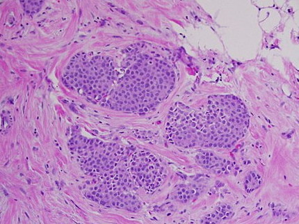
- D05: 유방의 제자리암
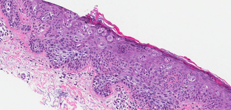
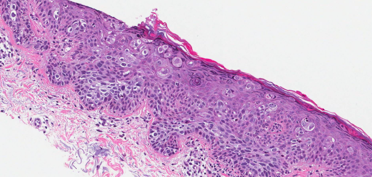
- D06: 자궁경부의 제자리암
- D07: 남성 생식기관의 제자리암
- D09: 기타 부위의 제자리암
이처럼 질병코드에 따라 관리와 추적 주기가 달라질 수 있습니다. 병원 진료 시 ‘D코드’로 표기되면, 이는 암의 초기 단계임을 뜻하며, 즉시 치료보다는 경과관찰과 생활습관 조정이 중심이 됩니다. 일반 암의 ‘C코드’와 달리, D코드는 치료보다 관리의 의미가 강하다고 볼 수 있습니다.
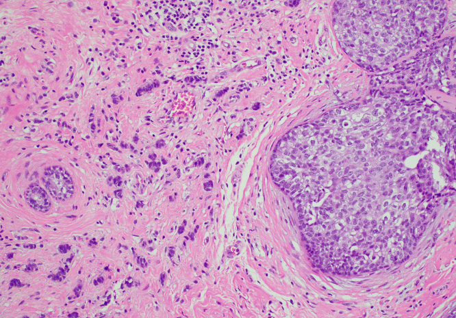
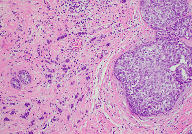
제자리암 이란 침윤암과 달리 퍼지지 않은 상태입니다

제자리암과 침윤암의 가장 큰 차이는 ‘퍼짐의 유무’입니다. 제자리암은 세포가 변형되었으나, 그 변화가 한정된 부위에 머무는 상태입니다. 반면 침윤암은 세포가 기저막을 넘어 주변 조직, 림프, 혈관 등으로 퍼진 상태를 말합니다. 따라서 침윤암은 수술, 항암, 방사선 치료 등 적극적 치료가 필요하지만, 제자리암은 비교적 관리 중심으로 접근할 수 있습니다.
이 차이점 때문에 제자리암을 발견했다는 것은 ‘조기 발견’의 상징이기도 합니다. 몸 안에서 이미 변화가 시작되었음을 알려주는 신호이므로, 지금부터의 관리가 미래의 건강을 좌우합니다. 특히 자궁경부나 유방처럼 호르몬의 영향을 많이 받는 부위는 생활습관 변화가 큰 역할을 합니다.
실제로 많은 자료에서 제자리암 이란 표현은 ‘암의 전 단계’라고 설명하지만, 이 단계를 얼마나 잘 관리하느냐에 따라 결과가 완전히 달라집니다. 즉, 지금의 생활습관이 미래의 건강을 결정한다는 뜻이죠.
제자리암 질병코드로 본 검진과 관리의 실제 과정

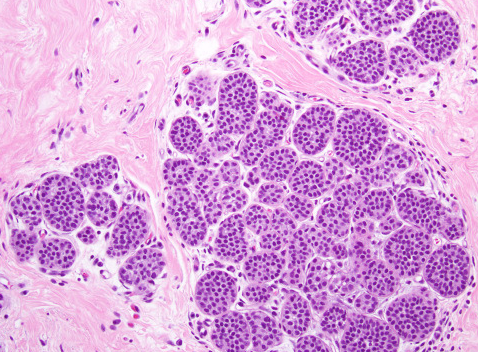
제자리암은 건강검진이나 정기 세포검사에서 우연히 발견되는 경우가 많습니다. 대부분 증상이 없기 때문입니다. 예를 들어 자궁경부 제자리암은 자궁경부 세포검사(Pap smear)에서 비정상 세포로 확인되고, 조직검사로 확진됩니다. 유방 제자리암 역시 유방촬영이나 초음파에서 미세석회화 병변으로 나타나 진단됩니다.
제자리암 질병코드가 붙었다면, 의료진은 일반적으로 6개월~1년 단위의 추적검사를 권합니다. 이 기간 동안 세포의 변화가 있는지, 악성으로 발전하는 징후가 있는지를 관찰합니다. 검사 결과에 따라 추가 조직검사나 국소적 제거 시술을 진행할 수도 있습니다. 그러나 모든 과정은 ‘예방적 관리’ 수준에 가깝습니다.
필자는 건강검진 후 제자리암 의심 소견을 받은 지인을 통해 이 과정을 자세히 들을 수 있었습니다. 그는 “치료라기보다는 관리와 추적에 가깝다”고 표현했습니다. 실제로 생활습관 개선만으로도 결과가 안정적으로 유지되는 사례가 많습니다. 의료법상 치료 효과를 단정지을 수는 없지만, 일상적인 관리의 중요성은 분명합니다.
생활 속에서 제자리암 이란 단어를 가볍게 여기지 말아야 합니다

제자리암은 암세포가 자리를 잡았지만 아직 ‘움직이지 않은 상태’입니다. 이 시기에는 생활습관이 향후 방향을 결정합니다. 특히 면역력을 떨어뜨리는 요인—수면 부족, 스트레스, 과음, 흡연—은 피해야 합니다. 규칙적인 식사, 충분한 수면, 신체활동은 제자리암 질병코드 단계에서 중요한 관리 요소입니다.
또한 정기적인 검진 일정은 미루지 말아야 합니다. 제자리암이 다시 세포 변화를 일으키는지 여부는 시간에 따라 달라집니다. 의료진의 권장 주기에 맞춰 검사를 꾸준히 이어가는 것이 가장 안전합니다. 일부 사람들은 ‘지금은 괜찮으니까 내년으로 미루자’고 생각하지만, 조기 관리의 타이밍을 놓치면 안 됩니다.
생활 속에서는 이런 마음가짐도 중요합니다. ‘암’이라는 단어에 매몰되기보다, 내 몸의 신호를 빠르게 감지했다는 점에 의미를 두는 것이 좋습니다. 제자리암 질병코드는 무섭기보다 ‘경고등’에 가깝습니다. 이를 통해 내 몸을 점검하고, 균형 잡힌 생활을 되찾는 계기로 삼는 것이 바람직합니다.
정기검진과 마음가짐, 그리고 제자리암 관리의 방향
제자리암 질병코드가 부여되면 누구나 불안해합니다. 하지만 중요한 것은 이 시점에서 무엇을 하느냐입니다. 제자리암은 조기 발견의 결과이자 관리의 출발점입니다. 정기검진을 꾸준히 받고, 생활습관을 점검하며, 스트레스를 줄이는 것만으로도 충분히 안정적인 상태를 유지할 수 있습니다.
필자 역시 건강검진 이후 ‘건강 일기’를 쓰기 시작했습니다. 잠을 자는 시간, 식습관, 스트레스 수준을 기록하면서 내 몸의 리듬을 다시 찾는 과정이었죠. 이런 실천은 단순히 제자리암 이란 단어에 대한 불안을 덜어주는 것뿐만 아니라, 스스로의 삶을 더 주의 깊게 바라보게 만드는 계기가 되었습니다.
의학적으로 제자리암 질병코드는 D00~D09로 정의되지만, 개인의 입장에서는 ‘관리의 신호’입니다. 정기검진과 생활의 조화가 이 단계를 지켜주는 가장 현실적인 방법입니다.
결국 제자리암은 조기 경고입니다. 조기에 발견할수록, 관리할수록 미래의 불안이 줄어듭니다. 지금이 바로 건강습관을 점검하고 내 몸을 되돌아볼 시점입니다. 제자리암 질병코드를 가볍게 보지 말고, 나를 위한 관리의 기준으로 삼아보세요.
이 글도 함께 읽어보세요 ⬇️
유방암 3기 완치율 항암치료 과정 미리 알고 준비하는 방법
"유방암 3기 완치율과 항암치료 과정을 알면 준비가 달라집니다" 유방암 3기는 치료 과정이 길고 복합적이어서 환자와 가족 모두에게 큰 부담을 줍니다. 하지만 정확한 정보를 알고 준비하면 치
brainhackers.kr
전립선암 수술후 회복기간 치료방법 핵심 포인트는?
"전립선암 수술 후 회복, 시간을 이해하면 몸과 마음이 더 편안해집니다" 전립선암은 중장년 이후 남성에서 비교적 흔하게 나타나는 질환 중 하나로, 수술과 치료를 거친 이후의 회복 과정이 개
brainhackers.kr
폐암4기 생존기간 생존율 높이는 실천법 4가지
"폐암 4기, 수치보다 중요한 건 일상입니다." 폐암 4기 진단은 누구에게나 두렵고 낯선 단어일 수밖에 없습니다. 병기 중 가장 말기라는 표현이 주는 무게, 그리고 인터넷 검색만으로도 마주하게
brainhackers.kr
반응형'건강정보' 카테고리의 다른 글
복숭아와 상극인 음식 조합, 꼭 피해야 할 이유 (1) 2025.11.11 장뇌삼 먹는 방법 가격 제대로 알아야 하는 이유 (0) 2025.11.10 만성 위축성 위염 증상 피로와 소화불량이 계속된다면 (0) 2025.11.10 저혈당 수치표 한눈에 보기 (0) 2025.11.09 잠 잘 오게 하는 방법 4가지 (0) 2025.11.09