-
장상피화생이 암으로변하는기간, 리스크 관리법건강정보 2025. 7. 21. 19:46반응형

"위내시경에서 장상피화생이라는 결과를 받았을 때, 그 낯선 단어가 주는 불안감은 생각보다 크더군요."
정기 건강검진이나 위내시경 검사 결과에서 처음 듣는 용어인 '장상피화생'을 접하면 누구나 당황하기 마련입니다. 저도 불과 몇 년 전, 직장 건강검진을 통해 위내시경을 받았다가 '장상피화생 의심'이라는 결과지를 받고 한동안 검색만 붙들고 있었던 기억이 납니다. 특히 검색창에 '장상피화생이 암으로변하는기간'을 입력했을 때, 정말 다양한 정보가 쏟아져 나와 혼란스러웠던 경험이 아직도 생생합니다.
이 글은 저처럼 막연한 불안을 가진 분들을 위해, 제가 겪은 개인적인 관찰과 생활 속 실천, 그리고 다양한 자료를 통해 정리한 장상피화생과 그에 대한 관리에 대한 이야기입니다.
목차
- 장상피화생이란 무엇인가?
- 장상피화생이 암으로변하는기간에 대한 이해
- 생활습관 변화가 중요한 이유
- 정기검진이 가져오는 마음의 안정
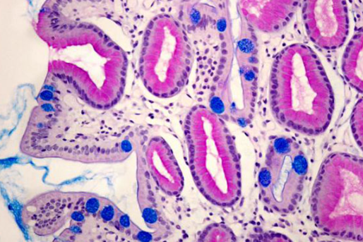
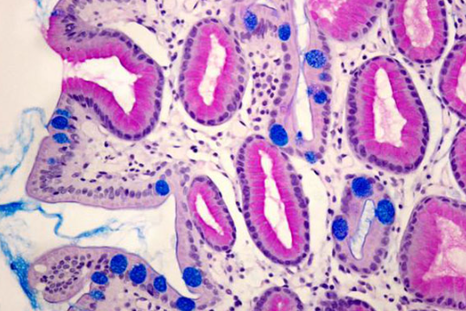
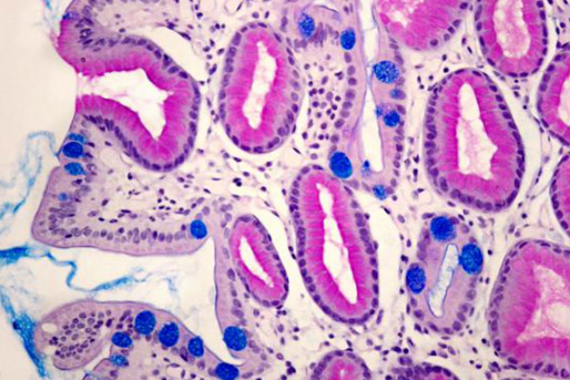
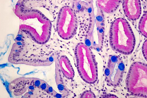
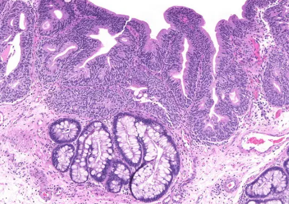
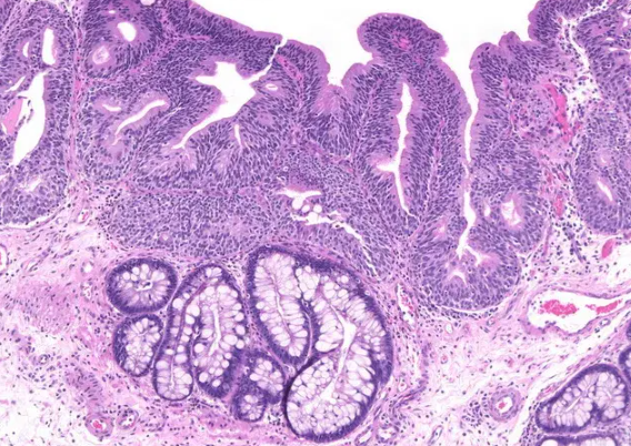
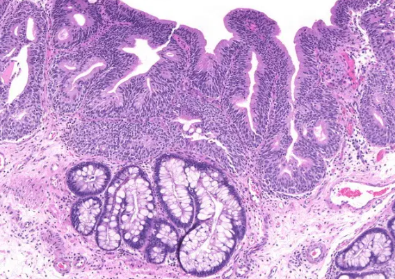
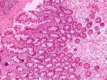
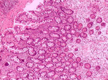
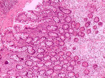
장상피화생이란 무엇인가?

장상피화생은 위 점막이 장 점막처럼 바뀌는 현상입니다. 위 점막은 본래 산성 환경에서 잘 버틸 수 있도록 구성되어 있지만, 오랜 기간 위염이나 헬리코박터균 등에 의해 자극을 받을 경우 장 세포처럼 변형되기도 합니다. 이는 위의 방어기능이 약해졌다는 신호로 볼 수 있지요.
당시 내시경 결과지를 들고 담당 의사와 이야기를 나누었을 때, 의사 선생님은 "아직은 치료 대상은 아니고, 관리의 대상이다"라고 설명하셨습니다. 처음에는 다소 안일하게 느껴졌지만, 그 뒤로 여러 자료를 찾아보며 오히려 지금이 관리할 수 있는 가장 좋은 시기라는 생각이 들었습니다.
장상피화생이란 용어 자체가 익숙하지 않기 때문에 많은 사람들이 검색하게 되는 단어가 바로 ‘장상피화생이 암으로변하는기간’이라는 표현입니다. 이는 정말 누구나 궁금할 수밖에 없는 부분이죠.
장상피화생이 암으로변하는기간에 대한 이해

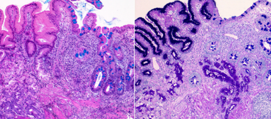
결론부터 이야기하면, 장상피화생이 곧바로 암이 되는 것은 아니며, 그 과정은 매우 느리고 개별적인 요소에 따라 달라집니다. 문헌이나 연구자료를 보면 일부 환자에서 10년 이상 걸리기도 하며, 암으로 진행되지 않는 경우도 많습니다.
하지만 중요한 건 그 '가능성'이 존재한다는 것입니다. 저도 검색을 통해 알게 되었는데, 특히 장상피화생이 '광범위하거나', '불완전형'일 경우 위험도가 올라간다는 연구 결과들이 있었습니다. 물론 이것이 모든 사람에게 동일하게 적용되는 것은 아니며, 생활습관과 유전, 감염 상태 등 복합적인 요소에 의해 결정됩니다.
이런 정보를 종합해 보면 '장상피화생이 암으로변하는기간'이라는 것은 단순한 시간의 문제가 아니라, 나의 현재 상태와 앞으로의 관리 방식에 따라 얼마든지 달라질 수 있는 유동적인 개념이라는 점을 알 수 있습니다.
생활습관 변화가 중요한 이유

제가 가장 먼저 실천한 변화는 식습관 개선이었습니다. 과거에는 자극적인 음식을 자주 먹었고, 식사 시간을 일정하게 지키지 않는 날도 많았어요. 야식을 즐기고 과음하는 날도 있었고요. 그런데 장상피화생이라는 단어를 접한 후, 자연스럽게 식생활에 대한 고민이 깊어졌습니다.
우선 탄 음식, 짠 음식, 너무 뜨겁거나 매운 음식은 줄이기로 했습니다. 그리고 커피나 탄산음료도 과하게 마시지 않도록 의식적으로 조절했고, 아침식사는 꼭 챙기려 노력했습니다. 꾸준히 따뜻한 보리차를 마시고, 위에 부담을 줄 수 있는 야식은 과감히 끊었습니다.
개인적으로 느꼈던 건, 이런 변화들이 몸에 가해지는 부담을 눈에 띄게 줄여준다는 점입니다. 특히 속쓰림이나 더부룩한 느낌이 줄어들었고, 식사 후 가벼운 산책을 하거나 스트레칭을 하는 습관도 위장 건강에 긍정적인 영향을 주는 것 같았습니다.
장상피화생이라는 결과는 저에게 생활을 점검해볼 기회를 준 계기였습니다. 그리고 '암으로변하는기간'이 두렵기보다, 지금부터 하나씩 실천해나가자는 결심으로 바뀌었죠.
정기검진이 가져오는 마음의 안정

생활습관을 바꾸는 것과 함께 가장 중요하게 생각한 것은 '꾸준한 추적검사'였습니다. 위내시경은 1년에 한 번씩 받기로 결정했고, 같은 병원에서 비교 가능한 방식으로 검사를 이어가고 있습니다. 이전 결과와 비교할 수 있도록 기록도 꼼꼼히 챙기고 있고요.
한 번은 내시경 후 조직검사까지 진행되었는데, 다행히 큰 변화가 없다는 소견을 들었을 때 마음이 한결 가벼워졌습니다. 아마 이 느낌은 검진을 받아본 분들이라면 공감하실 겁니다. 불안은 무지에서 오지만, 검진은 그 불안을 관리 가능한 수준으로 줄여주는 도구라고 생각해요.
특히 ‘장상피화생이 암으로변하는기간’처럼 장기적인 시간을 요하는 가능성에 대해, 우리는 그 흐름을 주기적으로 확인하면서 대비할 수 있다는 점에서 정기적인 검진은 필수라고 느낍니다.
또한 병원에서 제공하는 위장 관련 건강 정보들을 읽어보면서 위에 좋은 식재료, 소화에 도움이 되는 식습관 등을 참고하고 제 방식대로 실천해나가고 있습니다. 위장을 다루는 방식이 섬세해질수록 몸도, 마음도 안정감을 느끼는 듯했습니다.

장상피화생이라는 단어는 처음에는 낯설고 불안하게 느껴졌지만, 지금은 나의 몸을 더 깊이 이해할 수 있는 계기가 되었다고 생각합니다. 누군가는 병명이 불안의 시작이라면, 저는 그것을 건강한 삶의 방향 전환점으로 받아들이기로 했습니다.
중요한 건 지금 내가 할 수 있는 것부터 시작하는 것입니다. 건강한 식습관, 규칙적인 생활, 스트레스 관리, 그리고 정기적인 검진. 이 모든 것이 모여 우리의 몸을 지켜주는 하나의 벽이 되어준다고 믿습니다.
긴 글 읽어주셔서 감사합니다. 조급함보다는 꾸준함으로 건강을 관리해보시기를 응원합니다.
이 글도 함께 읽어보세요 ⬇️
식도염 증상 좋은 음식 치료법 알아봐요
"가슴이 타는 듯한 통증, 삼키기 힘든 음식… 식도염의 고통에서 벗어날 수 있을까요?" 최근 식도염으로 고통받는 사람들이 늘어나면서 이 질환에 대한 관심이 높아지고 있습니
brainhackers.kr
왼쪽 등쪽 통증, 원인과 대처법 제대로 알기
"갑자기 느껴지는 왼쪽 등쪽 통증, 단순 근육통이 아닐 수 있습니다"왼쪽 등쪽 통증, 그 원인을 알고 계신가요?평소 건강에 문제가 없다고 생각했던 사람들도 갑작스럽게 나타나는 왼쪽 등쪽 통
brainhackers.kr
속쓰림 원인 및 증상 식후 유난히 잦은 이유
유난히 평소에 소화가 잘 되지 않는다거나 속쓰림이 심한 분들이 있는데요. 이 속쓰림은 불규칙한 식생활이 만연화된 현대 사회에서는 특히 큰 건강 문제로 자리 잡고 있습니다. 과식을 잦다거
brainhackers.kr
위내시경 전날 음식 검사주기 비용 총정리
"소화기 질환, 조기 발견이 답입니다!" 소화불량이나 속쓰림을 한 번쯤 경험해보신 적 있으신가요? 많은 사람들이 소화기 문제로 고통받고 있지만, 정작 위내시경 검사의 중요성
brainhackers.kr
반응형'건강정보' 카테고리의 다른 글
쓸개 제거 수술 후 회복 및 일상 변화 식습관 팁 (2) 2025.07.22 다리에 쥐가 자주 나는 이유, 밤중 경련 줄이는 법 (1) 2025.07.22 중성지방 수치가300넘으면 알아야 할 위험과 대처법 (3) 2025.07.21 머리가 멍하고 맑지 않은 증상, 멍할때 원인과 대처 (2) 2025.07.21 자궁적출 수술후 회복기간 부작용 생리 관련 총정리 (2) 2025.07.21