-
혓바늘 없애는 방법 연고 병원 불편 줄이는 팁건강정보 2025. 9. 12. 08:16반응형

“작은 혓바늘 하나가 입안을 불편하게 만들 때, 어떻게 관리해야 할까요?”
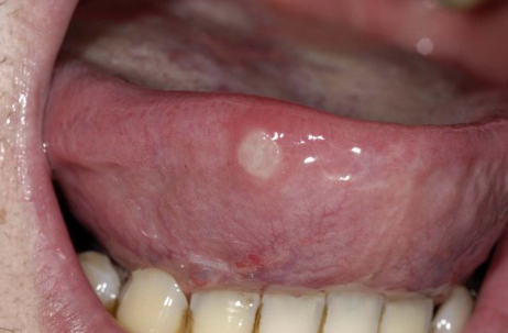
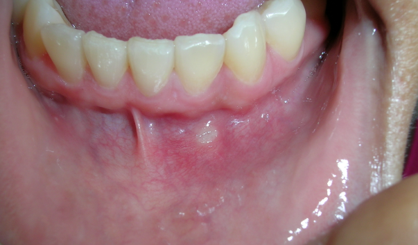
혓바늘은 누구나 일상에서 한 번쯤 경험하는 흔한 증상입니다. 작은 돌기처럼 올라와 따끔거리거나 음식 섭취 시 불편을 주며, 때로는 대화를 할 때도 신경이 쓰이곤 합니다. 많은 사람들이 혓바늘 없애는 방법을 검색하는 이유도 이런 생활 속 불편 때문입니다. 혓바늘 없애는법은 단순한 연고 사용에서부터 생활습관 관리, 병원 방문에 이르기까지 다양한 선택지가 있습니다. 이 글에서는 혓바늘 연고와 혓바늘 병원 관련 정보를 포함해, 혓바늘 없애는 방법을 폭넓게 정리해 보겠습니다.
목차
- 혓바늘 없애는 방법 이해하기
- 생활 속에서 실천하는 혓바늘 없애는법
- 혓바늘 연고 선택과 사용 시 주의사항
- 혓바늘 병원 진료가 필요한 상황
- 혓바늘 예방을 위한 습관과 관리
혓바늘 없애는 방법 이해하기

혓바늘은 혀 표면에 국소적으로 나타나는 미세한 염증성 변화입니다. 일반적으로 피로, 수면 부족, 스트레스, 비타민 부족 등 다양한 요인과 연관이 있습니다. 저도 업무가 몰려 과로가 심했을 때 혓바늘이 자주 생겨 입안이 불편했던 경험이 있습니다. 이러한 개인적 경험에서 알 수 있듯이, 혓바늘 없애는 방법은 단순히 특정 치료에 의존하기보다 생활 전반을 점검하는 것이 기본입니다.
대부분의 혓바늘은 시간이 지나면서 자연스럽게 줄어들기도 합니다. 하지만 그 기간 동안 불편감이 크기 때문에 많은 사람들이 혓바늘 없애는법을 찾고, 연고나 병원 진료를 고민하게 됩니다.
생활 속에서 실천하는 혓바늘 없애는법

생활습관은 혓바늘 관리의 핵심입니다. 첫째, 수분 섭취를 충분히 하는 것이 기본입니다. 건조한 입안은 염증 반응을 악화시킬 수 있기 때문입니다. 둘째, 자극적인 음식은 가급적 피하는 것이 좋습니다. 매운 음식, 지나치게 짠 음식, 뜨거운 음식은 혓바늘 부위를 더 자극할 수 있습니다.
저는 혓바늘이 생겼을 때 커피를 줄이고 미지근한 물을 자주 마셨는데, 그 덕분에 통증이 덜 느껴졌습니다. 또, 식사할 때는 부드러운 음식 위주로 선택해 불편함을 최소화했습니다. 이런 작은 습관들이 혓바늘 없애는법에서 중요한 역할을 합니다.
일상에서 실천할 수 있는 팁
- 규칙적인 수면을 유지해 몸의 피로를 줄이기
- 스트레스 관리 방법 찾기: 산책, 명상, 음악 감상 등
- 채소와 과일을 통한 균형 잡힌 영양 섭취
- 양치 시 부드러운 칫솔질과 구강 청결 유지
혓바늘 연고 선택과 사용 시 주의사항

혓바늘이 심해 일상에 지장이 클 경우, 약국에서 구할 수 있는 혓바늘 연고를 고려할 수 있습니다. 연고는 대체로 해당 부위를 보호하는 기능을 하며, 음식이나 대화 중에 느껴지는 불편함을 줄여주는 데 도움을 줄 수 있습니다.
제가 직접 사용했던 경험으로는, 연고를 바른 뒤 혓바늘 부위에 얇은 막이 생기는 듯한 느낌이 있어 자극이 덜했습니다. 그러나 연고는 근본적인 해결책이 아니며, 일시적인 관리 방법이라는 점을 염두에 두는 것이 중요합니다. 사용 전에는 반드시 제품 설명서를 확인하고, 필요 시 약사와 상담하는 것도 좋은 방법입니다.
연고 사용 시 고려해야 할 부분
- 정해진 횟수 이상 사용하지 않기
- 증상이 오래 지속될 경우 단순히 연고에만 의존하지 않기
- 다른 구강 관련 증상이 동반될 경우 전문가 상담 권장
혓바늘 병원 진료가 필요한 상황

대부분의 혓바늘은 1~2주 내에 자연스럽게 줄어드는 경우가 많습니다. 하지만 혓바늘이 반복적으로 나타나거나, 통증이 심해 일상생활에 큰 불편을 준다면 혓바늘 병원 진료를 고려하는 것이 좋습니다. 특히 같은 위치에 반복적으로 발생하거나, 혓바늘 외에 다른 구강 내 이상 증상이 동반된다면 전문가의 확인이 필요합니다.
저도 한때 혓바늘이 자주 재발해 병원을 찾았던 적이 있습니다. 단순한 생활습관 때문인지, 아니면 다른 문제가 있는지 확인하고 싶었기 때문입니다. 검사 결과 특별한 문제는 없다는 설명을 들었을 때 안심할 수 있었고, 그 이후로는 생활습관 개선에 더 신경을 쓰게 되었습니다. 이런 경험은 혓바늘 병원이 단순한 치료 목적뿐 아니라 심리적인 안정을 주는 역할도 한다는 점을 보여줍니다.
혓바늘 예방을 위한 습관과 관리

혓바늘 없애는 방법 못지않게 중요한 것이 예방입니다. 규칙적인 생활과 올바른 구강 관리가 혓바늘을 줄이는 데 필수적입니다. 특히 면역력을 유지하는 것은 가장 중요한 요소입니다. 균형 잡힌 식단, 충분한 수분 섭취, 정기적인 운동은 모두 도움이 됩니다.
저는 평소 물을 자주 마시는 습관을 들였고, 비타민이 풍부한 과일을 챙겨 먹으면서 혓바늘 발생이 줄어드는 것을 체감했습니다. 이렇게 일상적인 작은 습관이 쌓이면 혓바늘 예방 효과로 이어질 수 있습니다.
예방 습관 정리
- 과로와 수면 부족 줄이기
- 규칙적인 운동으로 체력 유지
- 자극적인 음식 줄이고 구강 청결 유지
- 비타민, 미네랄 섭취 균형 맞추기
혓바늘 없애는 방법은 단순히 연고를 사용하는 것에 그치지 않습니다. 생활습관을 돌아보고 관리하는 것이 가장 기본적이고 현실적인 접근입니다. 혓바늘 없애는법을 실천하는 과정에서 연고 사용이나 병원 방문도 도움이 될 수 있지만, 결국 꾸준한 관리와 예방 습관이 장기적으로 가장 의미 있는 답이 됩니다.
다른 건강 관리 꿀팁도 준비했습니다. 아래 글에서 이어서 확인해보세요 ⬇️
침샘염 증상 원인 치료 방법 총정리(+약, 병원)
침샘염은 귀 밑 이하선이나 턱 밑 악하선에 염증이 생기는 질환으로, 붓기와 통증, 침 분비 감소, 발열 등 다양한 증상이 동반될 수 있습니다. 특히 중장년층에서 침 분비가 줄면서 발생 빈도가
brainhackers.kr
입술에 물집이 생기는 이유 무심코 넘기면 반복된다? 꼭 알아야 할 원인과 대처법
"입술에 생긴 물집, 단순한 피로일까요? 아니면 건강 이상 신호일까요?" 갑작스럽게 입술에 물집이 생기면 당황스러울 수밖에 없습니다. 외관상 보기에도 좋지 않고, 통증이나 따가움까지 동반
brainhackers.kr
프로폴리스 복용법, 먹는시간 언제가 더 좋을까?
"언제, 어떻게 먹느냐에 따라 달라지는 프로폴리스의 느낌" 프로폴리스에 대한 관심은 해가 갈수록 높아지고 있습니다. 특히 최근처럼 건강에 대한 경각심이 커진 시기에는 일상 속에서 실천 가
brainhackers.kr
반응형'건강정보' 카테고리의 다른 글
귀가 멍멍한 증상에 자가 치료법 이유 관리 팁까지 (0) 2025.09.12 폐에 물이 차는 원인 증상 물참 관리 포인트 (0) 2025.09.12 창고형 약국위치 한눈에 확인하기 (+ 용인, 대전, 광주..) (1) 2025.09.11 치탄플러스 가격 약국 사용법 한 번에 정리 (0) 2025.09.10 임종 전에 나타나는 증상 핵심 관찰 포인트 (0) 2025.09.10