-
폐결절이란 원인 수술 치료 핵심 정리건강정보 2025. 7. 11. 01:53반응형

"건강검진에서 발견된 폐결절, 무조건 걱정해야 할까?"
최근 건강검진을 받은 후 '폐결절이 보인다'는 말을 들었습니다. 솔직히 처음엔 무서웠어요. '혹시 큰 병이 아닐까?' 하는 걱정이 들었죠. 하지만 자세히 알아보니, 폐결절이라는 말 자체가 곧 병을 의미하는 건 아니라는 걸 알게 됐습니다. 이 글에서는 제가 직접 겪은 과정을 바탕으로, 폐결절이란 무엇인지, 폐결절의 원인과 진단 과정, 그리고 치료나 수술이 필요한 경우는 어떤 때인지에 대해 자세히 정리해보려 합니다.
평소 흡연을 하지 않더라도, 요즘은 미세먼지나 환경적 요인으로 인해 폐 건강에 영향을 받기 쉬운 시대이기에, 폐결절에 대한 이해는 누구에게나 중요하다고 느꼈습니다. 저처럼 건강검진 결과를 받고 걱정하는 분들이 있다면, 이 글을 통해 조금은 안심하고 준비하실 수 있을 거예요.
또한 주변 지인들 중에도 비슷한 경험을 한 경우가 있었는데, 서로 정보를 나누다 보니 비슷한 걱정을 하고 있는 분들이 꽤 많더라고요. 이 글은 그런 분들에게도 도움이 되었으면 좋겠다는 마음으로 작성했습니다.
- 폐결절이란 무엇인가?
- 폐결절의 대표적인 원인
- 폐결절 발견 시 검사 과정
- 폐결절 치료와 수술은 언제 필요할까?
- 생활 속에서 실천할 수 있는 폐 건강 관리법
폐결절이란 무엇인가?
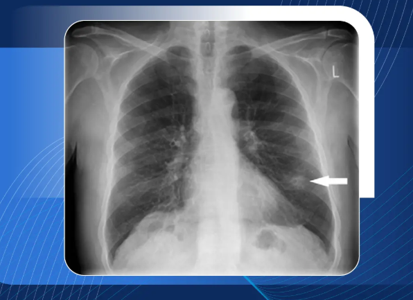
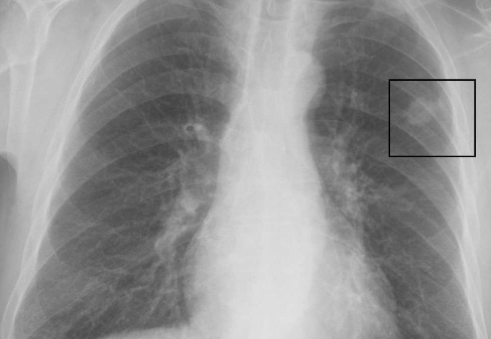
'폐결절이란' 폐 안에서 발견되는 작고 둥근 모양의 음영이나 덩어리를 말합니다. 보통 건강검진에서 흉부 CT나 X-ray를 통해 우연히 발견되는 경우가 많죠. 대부분은 3cm 이하의 크기를 가지며, 크기가 작을수록 양성(즉, 암이 아닌 경우)일 가능성이 높다고 알려져 있습니다.
결절이라는 말 자체는 '덩어리'라는 의미를 포함하고 있지만, 반드시 악성 종양(암)을 뜻하는 것은 아닙니다. 실제로 폐결절이 발견되더라도 전체의 60~80%는 양성이라는 통계도 있습니다. 이 말은 즉, 크기나 모양이 특별히 의심스럽지 않다면 무조건적인 공포는 내려놓아도 된다는 뜻이기도 하죠.
제 경우도 크기는 5mm 미만이었고, 특별한 증상 없이 발견된 경우였기 때문에 의료진은 '추적 관찰'을 권유했습니다. 단지 '지켜보는 것'만으로도 충분한 경우가 많다는 사실은 의외이면서도 안심이 되는 부분이었습니다.
폐결절 원인, 어떤 게 있을까?
'폐결절 원인'은 매우 다양합니다. 대표적인 원인으로는 아래와 같은 것들이 있어요.
- 예전 감염의 흔적: 폐렴이나 결핵을 앓은 이후에 생기는 흉터 조직
- 양성 종양: 섬유종이나 육종 같은 비암성 종양
- 염증 반응: 먼지, 곰팡이, 미세먼지 등에 의한 염증성 결절
- 흡연 또는 환경 요인: 흡연 이력이나 미세먼지, 직업성 유해물질 노출
- 악성 종양: 드물지만 폐암 초기일 수 있음
제 개인적인 생활 속에서 돌이켜보면, 공기가 탁한 환경에서 장시간 생활하거나, 겨울철 난방에 의한 실내 공기질 저하 등도 무관하지 않았을 거라 생각됩니다. 특히 요즘은 실내 환기가 잘 안 되는 환경에 오래 머무는 경우가 많아 더욱 조심해야겠다고 느꼈습니다.
또한, 폐결절 원인은 한 가지가 아니라 복합적으로 작용하는 경우가 많기 때문에 단순히 생활 습관 하나만으로 판단하기는 어렵습니다. 그렇기에 평소 꾸준한 건강 관리가 중요하다고 생각하게 되었어요.
폐결절이 발견되면 어떤 검사를 받게 될까?


정기 건강검진에서 폐결절이 발견되면, 대부분 추가적인 정밀 검사를 진행하게 됩니다. 일반적으로는 다음과 같은 검사들이 포함됩니다.
- 고해상도 CT(컴퓨터단층촬영): 결절의 크기와 형태, 경계, 석회화 여부 등을 더 정밀하게 관찰
- PET-CT: 결절의 대사 활동성을 확인하여 악성 여부를 간접적으로 판단
- 기관지내시경 검사: 결절이 위치한 부위가 기관지와 가까운 경우 조직검사를 위해 시행
- 경과 관찰: 3~6개월 간격으로 추적 CT 촬영
실제로 저도 고해상도 CT를 한 번 더 찍은 뒤, 결절의 변화 여부를 확인하기 위해 6개월 후 재검을 권유받았습니다. 매일매일 불안하게 기다리는 건 아니었지만, 가끔 생각날 때마다 마음이 무거웠던 건 사실이에요. 하지만 의사 선생님이 "작고, 경계가 뚜렷하며, 모양이 균일한 경우 대부분은 문제가 없다"고 말씀해주셔서 많이 안심됐습니다.
폐결절 치료, 수술은 언제 필요한 걸까?

'폐결절 치료'나 '폐결절 수술'이 필요한 경우는 생각보다 드뭅니다. 대부분의 결절은 양성으로 판명되며, 경과 관찰로 충분한 경우가 많아요. 그러나 아래와 같은 경우라면 조금 더 적극적인 조치를 고려하게 됩니다.
- 결절의 크기가 빠르게 커지는 경우
- 경계가 불규칙하거나 모양이 별모양처럼 퍼진 경우
- 가족력이 있거나 흡연 경력이 있는 경우
- PET-CT 결과에서 활발한 대사 활동이 있는 경우
이럴 땐 수술적 절제나 조직검사를 통해 명확한 진단을 하게 됩니다. 제 지인의 경우엔 1cm 이상의 결절이 점점 커지는 양상을 보여 조직검사를 진행했는데, 다행히도 양성으로 확인되어 더 큰 치료는 하지 않았다고 합니다.
결국 중요한 것은 '지속적인 관찰'과 '전문의와의 상담'입니다. 내 몸 상태를 잘 알고 대응하는 것이 가장 큰 예방이자 치료이기도 하니까요.
폐 건강을 지키기 위한 생활습관

폐결절이 발견된 이후, 저는 일상생활 속에서도 여러 가지 노력을 시작하게 되었습니다. 그중 가장 먼저 시작한 것이 '공기 관리'였습니다. 공기청정기 필터를 2개월마다 교체하고, 실내 환기를 하루 2회 이상 철저히 하기로 했습니다.
또한 외출 시에는 마스크 착용을 생활화했고, 흡연자의 주변을 피하며, 음식에서도 항산화 성분이 풍부한 채소와 과일을 더 많이 섭취하게 되었죠. 폐결절 원인을 생활 속에서 차단하는 것이 저의 작은 실천이었어요.
- 미세먼지 예보를 매일 확인하고 외출 시 KF94 마스크 착용
- 주 3회 이상 가벼운 유산소 운동(걷기, 자전거 등)
- 집 안 먼지 제거를 위한 청소 습관 강화
- 가공식품, 튀김류 등은 줄이고 신선한 채소 위주 식단 구성
- 커피와 탄산음료 줄이고 수분 섭취량 늘리기
물론 이런 생활습관이 폐결절을 직접적으로 치료하는 것은 아니겠지만, 폐 건강을 전반적으로 관리하는 데 분명 도움이 된다고 느끼고 있습니다. 꾸준함이 가장 중요하다는 걸 다시 한 번 느끼게 되었어요.

폐결절이라는 단어만 듣고도 불안해지는 건 어쩌면 당연한 반응일 겁니다. 하지만 대부분의 경우 단순한 결절일 가능성이 높고, 정기적인 관찰과 건강한 생활습관을 통해 잘 관리할 수 있다는 사실을 알게 되면 한결 마음이 놓이게 됩니다.
저도 처음엔 무척 걱정했지만, 검사를 통해 변화가 없다는 걸 확인하고 나니 오히려 폐 건강에 더 관심을 가지게 된 계기가 되었어요. 중요한 건 의료진의 안내에 따라 차분히 경과를 지켜보며, 나 자신을 위한 관리에 집중하는 것이라 생각합니다.
이 글을 읽는 여러분도, 폐결절이라는 말을 들었다면 너무 걱정하지 마시고, 정확한 정보와 함께 차근차근 대응해 나가시길 바랍니다. 그리고 오늘부터라도 폐 건강을 위한 작고 쉬운 실천을 하나씩 시작해보는 건 어떨까요?
이 글도 함께 읽어보세요 ⬇️
폐렴 치료기간 예방접종 가격 알고 가세요
"폐렴, 당신의 건강을 위협하는 침묵의 적!" 폐렴은 우리 모두가 주의해야 할 심각한 질병입니다. 가족이나 가까운 지인 중 누군가 폐렴으로 고생했던 기억이 있으신가요? 폐렴은
brainhackers.kr
폐암에 좋은 음식 10 폐암3기 생존기간 정리
"폐암이라는 절망적인 진단에도 불구하고, 새로운 희망의 길이 열릴 수 있습니다." 폐암이라는 진단을 받는 순간, 삶의 모든 것이 바뀝니다. 이 암은 주로 흡연과 관련이 있지만, 비흡연자
brainhackers.kr
가래 없애는 방법 이 음식 꼭 드셔야 합니다
가래가 생기면 그냥 삼켜버리거나 뱉어보려 노력하지만 쉽게 제거되지 않고 찜찜하게 남아있는 경우가 많습니다. 구체적인 원인을 파악해 치료를 받거나 평소의 생활습관 그리고 식습관을 고
brainhackers.kr
반응형'건강정보' 카테고리의 다른 글
생맥산의 효능 만드는 법 생맥산 차 기운 보충의 선택 (2) 2025.07.11 골격근량 정상범위 늘리기 여자 남자 비교 관련 (1) 2025.07.11 산소포화도 낮을때 증세, 70 80 90 수치 대처법 (0) 2025.07.10 이비인후과 진료과목 (+ 귀청소 귀지 제거) 궁금하세요? (2) 2025.07.10 당화혈색소 수치표 (+ 낮추기, 5.2 5.8) 완벽 가이드 (1) 2025.07.10