-
장상피화생 치료법 완치 위한 전략건강정보 2025. 8. 8. 01:17반응형

"작은 습관이 모여 이루는 장상피화생 변화의 시작"
장상피화생은 흔히 ‘위장 점막 세포의 구조 변화’를 뜻하며, 많은 분들이 이 단어 앞에서 두려움을 느끼곤 합니다. 하지만 의료법을 준수하며, 제 개인적인 관찰을 바탕으로 말하자면 이 상태는 생활습관의 조정만으로도 충분히 관리 가능한 영역입니다. 이 글에서는 ‘장상피화생 치료법’과 ‘장상피화생 완치’를 중심으로 일상 속 실천 가능한 팁을 공유하며, 긴 여정 속 작은 변화들이 어떤 영향을 미치는지 경험을 토대로 안내드립니다.
- 장상피화생의 개념과 왜 중요한가
- 생활 속 실천형 장상피화생 치료법
- 장상피화생 완치를 위한 장기적 전략
- 개인 사례로 본 일상의 변화 효과
장상피화생의 개념과 왜 중요한가

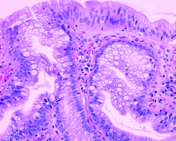
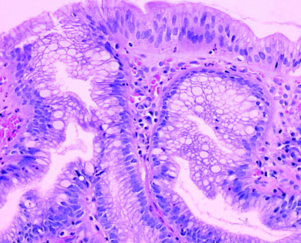
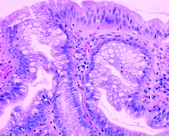
장상피화생은 위장 점막이 원래의 세포 형태에서 장(腸)과 유사한 세포로 바뀌는 상태를 일컫습니다. 이 변화가 곧바로 증상을 유발하는 것은 아니지만, 위암 발생 가능성과의 연관성 때문에 의료계에서 주의를 기울이는 지표입니다. 의료법에 따라 ‘치료 효과’라는 표현은 사용하지 않지만, 개인적으로 내시경 검사 결과가 안정적으로 유지되는 것을 경험하며, 생활습관의 변화가 중요하다는 사실을 직접 느꼈습니다.
정기적인 내시경 검사와 전문가 상담은 기본입니다. 하지만 거기에 더해 ‘생활 속 습관’이 꾸준히 개선된다면, ‘장상피화생 완치’로 가는 여정이 조금 더 수월해질 수 있다고 저는 믿습니다. 이제 구체적인 장상피화생 치료법을 소개하겠습니다.
생활 속 실천형 장상피화생 치료법

① 일정한 식사 시간 유지
식사 시간이 들쭉날쭉하면 위산 분비가 불안정해지고, 이는 장상피화생 완치의 걸림돌이 되기도 합니다. 저는 아침·점심·저녁을 가능한 정해진 시간에 섭취하며, 특히 아침 식사를 거르지 않으려 노력했어요. 바쁜 날에도 간단한 샐러드나 단백질 쉐이크라도 챙기니 몸이 훨씬 안정적으로 반응하더라고요.
② 균형 잡힌 식단과 발효식품 섭취
식이섬유와 발효식품은 위장 건강에 필수 요소입니다. 저는 매일 고구마, 현미, 브로콜리 같은 섬유질 식품과 김치·요구르트를 챙겨 먹었습니다. 제 개인적인 관찰로는 이러한 식단이 소화도 잘 되고, 배변 리듬이 안정되어 장상피화생을 관리하는 데 실질적인 도움이 됐습니다.
③ 스트레스 관리와 충분한 수면
스트레스는 위장 건강에 악영향을 끼치는 주요 요인입니다. 저는 하루 10분 정도의 명상과 주 3회 가벼운 산책을 습관화했고, 매일 7시간 이상 수면을 유지하려 노력했습니다. 몸과 마음이 편안해지니, 위 불편감도 덩달아 줄더군요.
④ 흡연과 음주 조절
담배와 술은 위 점막에 자극을 주어 장상피화생이 악화될 수 있습니다. 저는 흡연량을 절반으로 줄이고, 음주도 주 1회 이하로 제한했습니다. 이렇게 하니 소화 불량이나 속쓰림이 훨씬 줄어드는 것을 몸으로 느꼈습니다.
장상피화생 완치를 위한 장기적 전략

① 정기적인 내시경과 피드백
장상피화생 상태로 진단되면, 보통 1~2년마다 내시경을 받습니다. 저는 이 주기를 철저히 지켰고, 매번 의료진에게 생활습관 점검 조언을 받으며 지속적으로 개선 요소를 확인했습니다.
② 스마트한 목표 설정
작은 성공이 큰 동기를 만듭니다. 예를 들어 ‘한 달간 설탕 줄이기 → 다음 두 달간 스트레칭 습관화’처럼 단계를 나누면 성취감도 느끼기 쉽고, 장상피화생 완치에 대한 마음의 준비도 자연스럽게 됩니다.
③ 전문가 네트워크 활용
의사, 영양사, 간호사 등과의 정기 상담을 통해 식습관과 검사 수치를 함께 점검했습니다. 이렇게 피드백을 받으니, 스스로 놓치기 쉬운 부분을 채워가며 장상피화생 치료법이 더욱 효과적으로 느껴졌습니다.
개인 사례로 본 일상의 변화 효과
저는 위에서 언급한 모든 실천을 6개월 이상 꾸준히 이어갔습니다. 그 결과 병원에서는 ‘안정적’이라는 평가를 받았어요. 개선됐다는 표현 대신, 변화가 흔들림 없이 유지된다는 답을 들었던 순간이 가장 기억에 남습니다. 이 경험을 통해 장상피화생 완치를 향한 여정이 먼 길처럼 느껴지지 않고, 매일의 작은 선택이 쌓여 이룰 수 있다는 사실을 깊게 체감했습니다.

장상피화생 치료법과 완치라는 키워드는 결코 숫자나 약물의 몫만이 아닙니다. 이는 매일의 식사, 수면, 스트레스 관리, 흡연·음주 조절, 정기 검진, 전문가 피드백이 함께 만들어내는 결과입니다. 생활 속에서 실천 가능한 작은 습관들이 모여, 장상피화생이라는 건강 리스크를 관리하는 지속 가능한 힘을 만들어냅니다.
매일의 습관이 어떻게 건강을 바꿀 수 있는지 궁금하다면, 이 경험이 여러분께도 하나의 길잡이가 되길 바랍니다. 작은 변화가 모여 큰 안정을 만듭니다.
이 글도 함께 읽어보세요 ⬇️
오른쪽 옆구리 등 통증 의심되는병 : 놓치기 쉬운 등쪽 신호
"오른쪽 옆구리 등 통증, 의심되는 질환이 있다는 사실 알고 계셨나요?" 최근 오른쪽 옆구리와 등쪽에 묘한 통증이 느껴졌습니다. 처음엔 단순히 근육이 뭉친 건가 싶었지만, 며칠이 지나도 사라
brainhackers.kr
배에 가스가 차고 방귀를 자주 뀜 증상, 원인과 해결법은?
"갑자기 배에 가스가 차고 방귀가 잦아졌다면, 이 신호를 무시하면 안 됩니다." 일상생활 중 갑자기 배에 가스가 차고 방귀를 자주 뀌는 증상이 반복된다면 단순한 식습관 문제일까요? 대부분은
brainhackers.kr
심부전증이란? 치료법 생존율
'암에 이어 국내 사망 원인 2위인 심부전, 위기 신호를 놓치지 말아야 합니다.' 숨이 차거나 어지럽다가 갑자기 쓰러지며 심장이 멈출 수 있는 무서운 질환인 심부전, 비만 및 고령 인구가 증가하
brainhackers.kr
반응형'건강정보' 카테고리의 다른 글
중성지방 탄수화물 줄이기 실천법 4가지 (4) 2025.08.08 대변 색깔이 검은이유, 검정 일 경우 무심코 지나치면 위험? (10) 2025.08.08 다리에 쥐가날때 응급 처치, 이것만 기억하세요! (8) 2025.08.07 쓸개 담석 증상, 담낭 통증이 보내는 신호는? (3) 2025.08.07 손가락 끝 벗겨짐 수포 왜 생길까? 실생활 관리법 공개 (8) 2025.08.07