-
잇몸이 내려 앉을 때 잇몸 복원치료 필요할까?건강정보 2024. 5. 27. 18:30반응형
"계속해서 내려 앉는 잇몸, 방치하면 치아를 잃을 수도 있습니다!"
구강 건강이 일상생활에 얼마나 큰 영향을 미치는지 알고 계신가요? 잇몸 건강은 치아만큼 중요합니다. 잇몸이 내려 앉는 현상은 많은 사람에게 흔히 발생하며, 이를 방치하면 치아의 지지력이 감소하고 심각한 경우 치아 상실로 이어질 수 있습니다. 그래서 오늘은 잇몸이 내려 앉을 때의 원인과 문제를 이해하고, 이를 해결하기 위한 잇몸이 내려 앉을 때 잇몸 복원치료의 필요성에 대해 논의해보도록 하겠습니다.

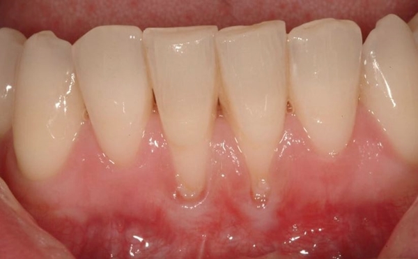
잇몸이 내려 앉을 때
주요 원인
구강 건강 전문가들은 잇몸이 내려 앉는 원인으로 여러 가지를 지목하고 있습니다. 치주염은 잇몸 퇴축의 주요 원인 중 하나로, 치아를 지지하는 조직의 염증으로 인해 발생합니다. 또한, 부적절한 구강 위생 관리, 유전적 요인, 흡연, 호르몬 변화 등이 잇몸 퇴축을 유발할 수 있는 주요 요인으로 꼽히고 있습니다.
잇몸이 내려 앉을 때 잇몸 복원치료가 필요한 이유
1. 치아 지지력 향상
잇몸이 내려 앉으면 치아의 지지력이 감소하여 치아가 흔들리거나 심한 경우 치아 상실로 이어질 수 있습니다. 잇몸 복원치료는 잇몸 조직을 재건하여 치아의 지지력을 회복시킴으로써 치아의 안정성을 증가시킵니다. 이는 특히 씹는 힘이 약해지거나 식사를 할 때 불편함을 느끼는 환자들에게 중요한 이점입니다. 안정적인 치아 지지는 전반적인 구강 건강뿐만 아니라 일상 생활의 질도 높여줍니다.
2. 치아 민감도 감소
노출된 치아 뿌리는 외부 자극에 민감하게 반응하여 차갑거나 뜨거운 음식, 음료 섭취 시 불편함을 초래합니다. 잇몸 복원치료는 잇몸 조직이 치아 뿌리를 덮도록 하여 이러한 민감도를 줄이고 불편함을 해소합니다. 이는 환자들이 일상적인 식사나 음료 섭취 시 느끼는 불편함을 크게 줄여주어 삶의 질을 향상시킵니다.
3. 구강 건강 전반 개선
잇몸이 내려 앉을 때 잇몸 복원치료를 받게 되면 잇몸 퇴축이 발생할 수 있으며 이로 인해 치주낭의 형성을 촉진하여 염증과 감염의 위험을 증가시킬 수 있습니다. 잇몸 복원치료는 잇몸의 높이와 두께를 증가시켜 치주낭을 줄이고, 염증과 감염을 예방함으로써 전반적인 구강 건강을 개선합니다. 또한, 건강한 잇몸은 치아와 잇몸 사이의 밀봉을 유지하여 유해한 박테리아의 침투를 방지합니다. 이는 장기적으로 치아와 잇몸의 건강을 유지하는 데 큰 도움이 됩니다.
4. 미관 개선
잇몸이 내려 앉으면 치아 뿌리가 노출되어 미관상 좋지 않은 모습을 초래할 수 있습니다. 잇몸 복원치료는 잇몸을 재건하여 자연스럽고 건강한 미소를 되찾게 해줍니다. 이는 환자의 자신감을 높이고 사회적, 심리적 복지를 향상시킵니다. 아름다운 미소는 사람들 간의 교류에서 중요한 요소로 작용하며, 외모에 대한 자신감이 사회적 상호작용에도 긍정적인 영향을 미칩니다.
이상 잇몸이 내려 앉을 때 잇몸 복원치료의 필요성에 대해 알아보았습니다. 잇몸이 내려 앉는 현상은 치주질환의 주요 증상으로, 구강 건강에 심각한 영향을 미칠 수 있습니다. 잇몸 복원치료가 이러한 문제를 개선하는 데 좋다고 하죠. 구강 건강을 지키기 위해 정기적인 치과 검진과 함께 잇몸 건강에 대한 관심이 필요합니다.반응형'건강정보' 카테고리의 다른 글
생강 심는심는시기와방법 재배방법 꿀팁 (0) 2024.05.28 멜라토닌 부작용 복용법 처방 (0) 2024.05.28 들기름 보관법 먹는법 유통기한 모두 정리 (0) 2024.05.27 맨발 걷기 부작용 명현반응 상세히 체크해보자 (0) 2024.05.27 익모초 효능 먹는 방법 채취시기 알아봐요 (0) 2024.05.26