-
위 선종이란 증상 원인 치료 방향 쉽게 설명건강정보 2026. 2. 24. 01:15반응형

위 선종이란? 증상·원인·치료 방향까지 쉽게 이해하기
위 선종이란 무엇인지 내시경 검사 결과지를 받고 처음 듣는 경우가 많습니다. “암인가요?”, “당장 수술해야 하나요?” 같은 걱정이 먼저 앞섭니다. 결론부터 말하면 위 선종은 위암은 아니지만, 암으로 진행할 수 있는 전암성 병변입니다. 그래서 과도하게 불안해할 필요는 없지만, 절대 방치해서도 안 됩니다.
특히 2026년 기준 위내시경 검진이 보편화되면서 조기 발견 사례가 늘고 있으며, 대부분은 내시경 치료로 안전하게 관리가 가능합니다.
이 글에서는
👉 위 선종의 정확한 의미
👉 왜 증상이 거의 없는지
👉 발생 원인과 위험 요인
👉 위암과의 차이
👉 치료 방법과 추적검사
👉 재발 가능성과 생활 관리까지 단계별로 쉽게 설명합니다.
1. 위 선종이란 정확히 무엇인가?

위 선종은
위 점막 세포가 비정상적으로 증식해 생긴 ‘양성 종양’
입니다.
하지만 여기서 중요한 점은 단순한 혹(폴립)과 다르다는 것입니다. 위 선종은 세포 모양이 정상과 달라진 ‘이형성’ 단계입니다. 즉, 세포 구조가 변형된 상태로 암으로 발전할 가능성이 존재하는 병변입니다.
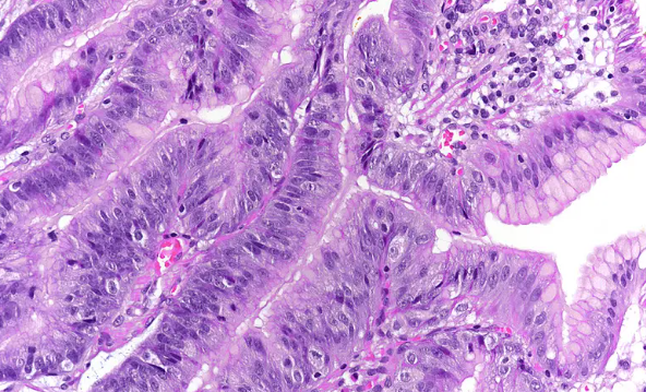
의학적으로는 다음처럼 구분됩니다.
- 저도 이형성 (Low-grade dysplasia)
- 고도 이형성 (High-grade dysplasia)
고도 이형성은 위암 직전 단계로 보는 경우도 있습니다.
2. 위 선종 증상은 왜 거의 없을까?

위 선종은 대부분 무증상입니다.
다음과 같은 증상이 있을 수는 있지만, 선종 자체 때문이라고 단정하기 어렵습니다.
- 속쓰림
- 더부룩함
- 소화불량
- 복부 불편감
대부분은 기존 위염이 함께 존재합니다. 그래서 많은 경우 건강검진 위내시경에서 우연히 발견됩니다.
👉 증상이 없다고 안전한 것은 아닙니다.
👉 발견되면 조직 검사 결과에 따라 대응이 달라집니다.
3. 위 선종 원인, 왜 생기는 걸까?

① 만성 위염
위 점막에 염증이 장기간 지속되면 세포가 손상과 재생을 반복합니다. 이 과정에서 비정상적인 증식이 발생할 수 있습니다.
② 헬리코박터 파일로리 감염
헬리코박터균은 위암의 주요 위험 인자로 알려져 있습니다.
감염이 지속되면 점막 손상 → 위축성 위염 → 장상피화생 → 선종 → 암으로 이어질 가능성이 있습니다.
③ 위축성 위염·장상피화생
위 점막이 얇아지고 구조가 변형된 상태입니다.
이 단계는 위암 발생 위험이 높아지는 전 단계입니다.
④ 흡연·고염식 식습관
짠 음식, 가공육, 흡연은 위 점막 손상을 가속화합니다.
⑤ 가족력
위암 가족력이 있는 경우 정기 검진이 더욱 중요합니다.
4. 위 선종과 위암 차이 정확히 구분하기

구분 위 선종 위암 성격 양성 악성 전이 없음 가능 조직 침윤 없음 있음 치료 내시경 절제 가능 수술·항암 가능 👉 위 선종은 아직 암은 아닙니다.
👉 하지만 고도 이형성은 암과 경계가 매우 가깝습니다.
5. 위 선종 치료 방향 (2026년 기준)

① 저도 이형성
- 병변 크기 작으면 내시경 절제 권장
- 일부는 추적 관찰 가능
하지만 최근에는 예방적 절제를 권하는 경향이 많습니다.
② 고도 이형성
- 암 진행 가능성 높음
- 내시경 점막 절제술(EMR)
- 점막하 박리술(ESD)
조기에 제거하면 완치율이 매우 높습니다.
6. EMR과 ESD 차이
- EMR: 비교적 작은 병변
- ESD: 큰 병변 또는 깊이 있는 병변
2026년 기준, 숙련된 병원에서는 ESD 성공률이 매우 높습니다.
7. 치료 후 재발 가능성
절제 부위는 완전히 제거되더라도
위 점막 환경이 개선되지 않으면 다른 부위에서 재발할 수 있습니다.따라서:
✔ 6개월~1년 내 재검
✔ 이후 1~2년 간격 정기 내시경이 권장됩니다.
8. 반드시 적극 대응해야 하는 경우
- 병변 크기 2cm 이상
- 고도 이형성 진단
- 출혈 동반
- 가족력 있음
- 헬리코박터 감염 동반
이 경우 전문의 상담이 필수입니다.
9. 생활 관리가 중요한 이유
위 선종은 “환경성 질환” 성격이 강합니다.
✔ 헬리코박터 제균 치료
✔ 금연
✔ 저염식
✔ 가공육 제한
✔ 과도한 음주 피하기
✔ 정기 검진 유지위 점막 환경을 개선하는 것이 재발 위험을 낮춥니다.
10. 가장 중요한 핵심 정리
위 선종은
👉 암은 아니지만 암으로 진행할 수 있는 전 단계
👉 조기에 발견하면 내시경 치료로 충분히 관리 가능
👉 정기 추적검사가 매우 중요입니다.
과도한 공포는 필요 없지만,
“괜찮겠지” 하며 미루는 것은 위험합니다.대변이 가늘게 나오는 이유, 이것 때문일 수도 있어요
"화장실에서 깜짝 놀랐다면? 대변이 가늘게 나오는 이유, 알아보세요!" 최근 며칠 사이 화장실에서 조금 낯선 경험을 하게 되었습니다. 평소와 달리 대변이 매우 가늘게 나오는 것을 발견했기 때
brainhackers.kr
쓸개 용종, 위치 놓치면 안 되는 5가지 체크 포인트
"건강검진에서 쓸개 용종이 발견되었을 때, 막연한 불안감보다 먼저 알아야 할 것들" 건강검진 결과를 받아보고 나면 알 수 없는 의학 용어들에 당황하기 쉽습니다. 저 역시 얼마 전 복부 초음파
brainhackers.kr
선종과 용종의 차이, 알고 나면 치료 방향이 다릅니다
선종과 용종의 차이, 알고 나면 치료 방향이 완전히 달라집니다대장내시경 후 “용종이 발견됐습니다”라는 말을 들으면 대부분은 ‘별거 아닌 혹’ 정도로 생각하기 쉽습니다. 하지만 조직검
brainhackers.kr
반응형'건강정보' 카테고리의 다른 글
볶은 무우차 만들기 기관지 건강 챙기는 따뜻한 습관 (0) 2026.03.01 게실염 원인 재발 가능성 핵심 정리 (0) 2026.02.23 혈소판 감소증에 좋은 음식 꼭 챙겨야 할 영양소 (0) 2026.02.23 볶은 무우차효능 부작용까지 체크 필수 정보 가이드 (0) 2026.02.22 케톤 식이요법 수치 양성 제대로 이해하는 방법 공개 (0) 2026.02.20