-
관상 선종이란 증상과 원인 한눈에 정리건강정보 2026. 2. 17. 09:52반응형

관상 선종이란? 증상·원인·암 위험도까지 완전 정리 (2026년 기준)
관상 선종은 건강검진 대장내시경에서 가장 흔하게 발견되는 대장 선종의 한 종류입니다. 결과지에 “선종성 용종(관상 선종)”이라고 적혀 있으면 많은 분들이 바로 이렇게 묻습니다.
- 이거 암인가요?
- 꼭 제거해야 하나요?
- 다시 생길 수 있나요?
- 재검은 언제 해야 하나요?
결론부터 말하면, **관상 선종은 암은 아니지만 ‘암으로 발전할 수 있는 병변’**입니다.
그래서 발견 즉시 제거하고, 이후 관리가 중요합니다.이 글에서
✔ 정확한 의미
✔ 암 진행 확률
✔ 재검 주기 기준
✔ 재발 막는 생활관리법
까지 모두 정리해드립니다.
관상 선종이란 정확히 무엇인가?

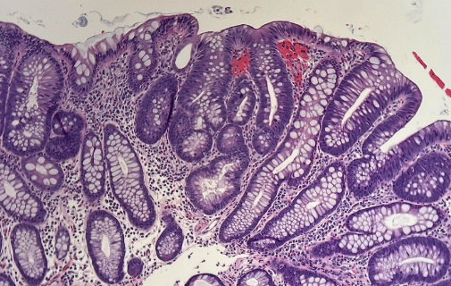
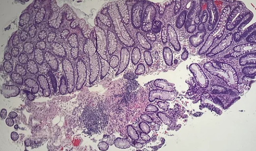
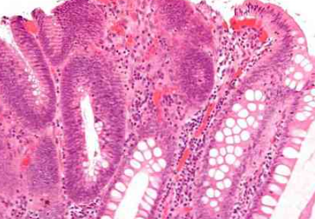
관상 선종은 대장 점막의 선세포가 비정상적으로 증식해 생기는 선종성 용종입니다.
먼저 개념부터 정리
- 용종(폴립) → 장 점막이 혹처럼 튀어나온 모든 병변
- 선종 → 그중에서 암으로 발전 가능성이 있는 조직
즉,
👉 모든 선종은 용종이지만
👉 모든 용종이 선종은 아닙니다.관상 선종은 선종 중에서도 가장 흔하고 비교적 위험도가 낮은 유형입니다.
하지만 “낮다”는 뜻이지, 안전하다는 의미는 아닙니다.
선종의 종류와 암 위험도 차이
종류 특징 암 위험도 관상 선종 가장 흔함 낮음~중간 융모 선종 표면이 융모 형태 높음 관융모 선종 혼합형 중간~높음 크기와 조직 형태가 암 진행 위험도를 결정합니다.
관상 선종 증상 – 왜 대부분 모르고 지나갈까?

관상 선종은 대부분 무증상입니다.
그래서 건강검진 내시경에서 우연히 발견됩니다.증상이 나타나는 경우
- 혈변
- 점액이 섞인 변
- 배변 습관 변화 (변비·설사 반복)
- 복부 팽만감
- 원인 모를 빈혈
📌 중요한 점
초기 대장암도 거의 무증상입니다.
“증상이 없으니 괜찮다”는 판단은 위험합니다.
관상 선종 원인 – 왜 생기는 걸까?

단순히 나이 때문만은 아닙니다.
여러 위험 요인이 복합적으로 작용합니다.1️⃣ 유전적 요인
- 가족 중 대장암 병력
- 선종 다발성 병력
- 유전성 대장 질환
가족력이 있다면 발생 확률이 2~3배 높아집니다.
2️⃣ 식습관
- 붉은 고기 과다 섭취
- 가공육
- 저섬유질 식단
- 고지방 식단
특히 서구화된 식습관이 위험 요인으로 알려져 있습니다.
3️⃣ 생활습관
- 운동 부족
- 비만
- 흡연
- 음주
복부 비만은 대장 선종 발생과 밀접한 관련이 있습니다.
4️⃣ 연령
2026년 기준
국가 암검진은 만 50세부터 권장합니다.
50세 이후 발생률이 급격히 증가합니다.
관상 선종, 암으로 진행될 확률은?

모든 관상 선종이 암이 되는 것은 아닙니다.
하지만 다음 조건이 겹치면 위험도가 올라갑니다.🔴 고위험 선종 기준 (2026년 임상 권고)
- 1cm 이상
- 3개 이상 다발성
- 고도 이형성(high-grade dysplasia)
- 융모 성분 포함
일반적인 작은 관상 선종은
5~10년에 걸쳐 천천히 진행합니다.👉 그래서 조기 발견이 매우 중요합니다.
진단 과정 – 조직검사가 핵심
1단계: 대장내시경 발견
2단계: 즉시 절제
3단계: 조직검사 결과 확인
결과지에서 반드시 확인해야 할 것
- 크기
- 개수
- 이형성 정도
- 절제 완전 여부
이 정보가 재검 시기를 결정합니다.
치료 방법 – 대부분 내시경으로 끝난다

작은 선종
→ 올가미 절제술
큰 선종
→ EMR(점막 절제술)
→ ESD(점막하 박리술)수술까지 가는 경우는
암세포가 깊게 침윤된 경우입니다.
재검 주기 – 가장 중요한 관리 포인트
2026년 기준 일반 권고안
상태 재검 시기 1cm 미만 1~2개 5년 1cm 이상 또는 3개 이상 3년 고위험 선종 1~3년 암 동반 전문의 상담 ※ 개인 병력에 따라 달라질 수 있음
관상 선종 제거 후 다시 생길까?
네, 가능합니다.
재발률은 30~50%로 보고됩니다.
특히 생활습관이 개선되지 않으면 재발 가능성이 높습니다.
재발을 줄이는 식단 관리법
✔ 섬유질 충분히 섭취
- 채소
- 통곡물
- 해조류
✔ 붉은 고기 줄이기
주 2회 이하 권장
✔ 가공육 제한
✔ 금연·절주
✔ 주 3회 이상 유산소 운동
단순 권장이 아니라,
실제로 재발률 감소에 영향을 미치는 요소들입니다.
관상 선종과 대장암 진행 단계
정상 점막
→ 선종
→ 고도 이형성
→ 조기 대장암
→ 진행성 대장암이 과정을 선종-암 연속체라고 합니다.
조기 발견하면
암 단계로 넘어가기 전에 차단할 수 있습니다.
이런 경우 바로 병원 방문
- 지속적 혈변
- 체중 급감
- 빈혈
- 복통 지속
- 가족력 있음 + 증상 발생
증상이 있다면 재검 시기를 기다리지 말아야 합니다.
보험 청구 가능할까?
일반적으로
내시경 절제술은 실손보험 청구 대상이 됩니다.다만,
✔ 조직검사 결과
✔ 입원 여부
✔ 보험 약관
에 따라 달라질 수 있습니다.보험사마다 조건이 다르므로 확인 필요합니다.
관상 선종, 이렇게 이해하면 됩니다
✔ 암은 아니다
✔ 하지만 암 전 단계 병변
✔ 제거하면 대부분 해결
✔ 관리하지 않으면 재발 가능
✔ 정기 내시경이 가장 중요쓸개 용종, 위치 놓치면 안 되는 5가지 체크 포인트
"건강검진에서 쓸개 용종이 발견되었을 때, 막연한 불안감보다 먼저 알아야 할 것들" 건강검진 결과를 받아보고 나면 알 수 없는 의학 용어들에 당황하기 쉽습니다. 저 역시 얼마 전 복부 초음파
brainhackers.kr
선종과 용종의 차이, 알고 나면 치료 방향이 다릅니다
선종과 용종의 차이, 알고 나면 치료 방향이 완전히 달라집니다대장내시경 후 “용종이 발견됐습니다”라는 말을 들으면 대부분은 ‘별거 아닌 혹’ 정도로 생각하기 쉽습니다. 하지만 조직검
brainhackers.kr
대변이 가늘게 나오는 이유, 이것 때문일 수도 있어요
"화장실에서 깜짝 놀랐다면? 대변이 가늘게 나오는 이유, 알아보세요!" 최근 며칠 사이 화장실에서 조금 낯선 경험을 하게 되었습니다. 평소와 달리 대변이 매우 가늘게 나오는 것을 발견했기 때
brainhackers.kr
반응형'건강정보' 카테고리의 다른 글
시래기 효능 부작용까지 알아보는 영양 정보 총정리 (0) 2026.02.17 게실염에 좋은 음식, 증상 완화에 탁월한 식단 가이드 (0) 2026.02.15 수액 맞는 시간, 적절한 타이밍은 언제일까? (0) 2026.02.15 혈소판 수치 올리는 방법, 자연스럽게 회복하는 식단과 생활습관 (0) 2026.02.15 십전대보탕 재료 가격 복용시 주의사항 총정리 (0) 2026.02.13