-
경동맥 협착증 증상 치료, 놓치면 위험한 신호들건강정보 2025. 12. 23. 01:02반응형

경동맥 협착증 증상 치료, 놓치면 위험한 신호들
뇌졸중은 한국인의 주요 사망 원인 중 하나입니다. 특히 그중 70% 이상이 **허혈성 뇌졸중(뇌경색)**인데, 이 대부분이 혈관이 좁아지거나 막혀 발생합니다.
그 원인 중 대표적인 것이 바로 경동맥 협착증입니다.
경동맥은 심장에서 뇌로 가는 산소·혈류의 ‘고속도로’ 역할을 하는데, 이 혈관이 좁아지면 뇌세포는 몇 분 만에도 손상되기 시작합니다.문제는, 경동맥 협착증은 초기에는 거의 증상이 없어 조용히 진행된다는 점입니다.
그래서 전문가들은 이를 “침묵의 살인자(silent killer)”라고 부릅니다.이 글에서는 경동맥 협착증의 증상·원인·위험군·진단법·치료법까지, 환자와 보호자 모두 꼭 알아야 할 내용을 깊이 있게 정리해드립니다.
1. 경동맥 협착증이란?

경동맥은 목 양쪽에 위치한 큰 혈관으로, 뇌에 혈액을 보내는 가장 중요한 통로입니다.
이 혈관 내부에 **죽상경화반(플라크, Plaque)**이 쌓이면 혈관 폭이 좁아지고 → 혈류량이 줄어들고 → 결국 뇌졸중으로 이어지게 됩니다.플라크는 어떻게 생길까?
플라크는 다음과 같은 물질로 구성됩니다.
- LDL 콜레스테롤
- 칼슘
- 염증 세포
- 혈관 내 손상 부위에 쌓인 지방 덩어리
혈관이 좁아지는 속도는 개인의 생활습관에 크게 좌우됩니다.
흡연, 고혈압, 고지혈증, 당뇨, 비만이 있으면 플라크 형성 속도가 2~5배 증가한다는 보고도 있습니다.
2. 경동맥 협착증이 위험한 이유

경동맥이 좁아지면 뇌로 가는 혈류량이 떨어지고, 이는 다음 문제로 이어질 수 있습니다:
● 뇌졸중(뇌경색) 발생 위험 증가
협착률이 70% 이상이면 뇌졸중 위험이 약 6~8배 증가합니다.
● 플라크 파열로 인한 급성 혈관 폐색
쌓인 플라크가 갑자기 터지면 혈전이 생기고, 이 혈전이 뇌혈관을 막아 급성 뇌경색을 유발합니다.
● 일과성 허혈 발작(TIA) 발생
일시적으로 혈류가 막혔다 풀리는 증상으로, 뇌졸중의 강력한 전조 증상입니다.
TIA가 나타난 환자는 48시간 내 뇌졸중 발생 확률이 매우 높습니다.이처럼 경동맥 협착증은 “증상이 없어서 더 위험한 질환”입니다.
3. 놓치면 안 되는 경동맥 협착증 증상들

초기에는 거의 증상이 없지만, 다음과 같은 신호가 나타난다면 즉시 병원에 가야 합니다.
🔎 대표 증상
1) 한쪽 팔다리가 갑자기 힘이 빠짐
갑작스러운 편측 마비는 뇌졸중의 가장 대표적인 경고 신호입니다.
2) 말이 어눌해지거나 발음이 흐려짐
뇌의 언어 중추에 혈류가 부족할 때 나타납니다.
3) 한쪽 눈이 갑자기 보이지 않음(일과성 단안 실명, Amaurosis fugax)
경동맥 협착증 환자에게 매우 흔하며, “눈앞이 커튼처럼 내려간다”고 표현하기도 합니다.
4) 갑작스러운 어지러움, 균형 장애
5) 얼굴 한쪽이 처지는 안면 마비
6) 짧은 시간 동안 의식이 멍해지는 느낌
TIA 증상일 가능성이 매우 높습니다.
4. 경동맥 협착증 위험 요인

다음에 해당하면 정기적 검사가 필요합니다.
● 고혈압
혈관 내벽을 지속적으로 손상시켜 플라크 축적 위험 증가.
● 고지혈증
LDL 콜레스테롤이 높은 경우 플라크 생성 증가.
● 당뇨병
혈관 탄성이 떨어지고, 염증 반응 증가.
● 흡연
혈관 내막 손상 + 혈액 점도 증가 → 협착 위험 급증.
● 비만, 운동 부족
대사 질환과 함께 위험도 상승.
● 60세 이상 고령층
노화로 인해 혈관이 자연스럽게 약해지며 플라크 축적 증가.
5. 경동맥 협착증 진단 방법

경동맥 협착증은 비교적 간단한 검사로 진단할 수 있습니다.
1) 경동맥 초음파 검사
- 비침습적
- 통증 없음
- 협착률을 실시간으로 확인 가능
- 비용도 비교적 저렴
많은 병원이 1차 검사로 활용합니다.
2) CT 혈관 조영술(CTA)
- 혈관의 형태, 플라크 위치를 정확하게 확인
- 급성 뇌졸중 환자 평가에 필수
3) MR 혈관 조영술(MRA)
- 방사선 노출 없음
- 플라크 구성 조직까지 확인 가능
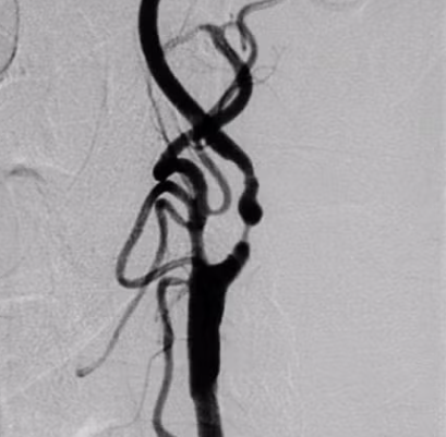
4) 혈관 조영술(DSA)
- 가장 정확한 검사
- 스텐트 시술 시 함께 진행되기도 함
6. 치료 방법 – 협착률에 따라 달라집니다
● 1) 약물 치료 (경증~중등도, 무증상 환자)
- 항혈전제(아스피린, 클로피도그렐)
- 스타틴 계열(콜레스테롤↓ + 플라크 안정화 효과)
- 혈압·혈당 조절
- 생활습관 개선
이 조합만으로도 뇌졸중 위험을 크게 낮출 수 있습니다.
● 2) 경동맥 내막 절제술(CEA)
협착 부위를 절개하여 플라크를 제거하는 수술.
다양한 연구에서 뇌졸중 예방 효과가 가장 높았다고 보고됩니다.장점
- 재협착 가능성 낮음
- 치료 효과 확실
단점
- 전신마취 필요
- 고령자나 심장 질환자에게 부담될 수 있음
● 3) 경동맥 스텐트 삽입술(CAS)
혈관에 스텐트를 넣어 넓혀주는 시술.
장점
- 비수술적
- 회복 빠름
- 고령 환자에게 유리
단점
- 재협착 위험 존재
- 시술 시 색전(부스러기) 발생 위험
7. 치료 후 관리가 더 중요합니다
수술이나 시술 후에도 생활습관을 유지해야 재발을 막을 수 있습니다.
반드시 지켜야 할 관리법
- 매일 30분 유산소 운동
- 금연(가장 효과적인 예방)
- 체중 관리
- LDL 콜레스테롤 70mg/dL 이하 유지
- 혈압 130/80 이하 유지
- 탄수화물 과잉 섭취 줄이기
- 정기적 초음파 검사(6개월~1년 주기)
8. 실제 사례로 보는 위험성
● A씨(62세)
며칠 전부터 눈앞이 잠깐씩 깜깜해지는 증상이 반복 → 대수롭지 않게 넘김 → 일주일 뒤 갑작스러운 편측 마비 발생 → 응급실 도착 후 뇌경색 진단.
경동맥 협착률 80%.● B씨(55세)
흡연 + 고혈압 · 고지혈증 → 건강검진에서 협착 발견 → 스텐트 시술 → 조기 치료로 뇌졸중 예방.두 사례 모두 중요한 것은 "증상 발생 초기에 대응했는가"입니다.
🧭 결론: 경동맥 협착증은 ‘시간과의 싸움’입니다
경동맥 협착증은 초기 증상이 거의 없어 방치되기 매우 쉬운 질환입니다.
그러나 조기 발견만 한다면 충분히 관리·예방이 가능합니다.중요한 것은 다음 두 가지입니다:
1️⃣ 작은 증상이라도 절대 무시하지 말 것
- 순간적 시야 상실
- 말이 어눌해짐
- 팔·다리 힘 빠짐
이런 신호는 뇌가 보내는 마지막 경고일 수 있습니다.
2️⃣ 위험군이라면 정기적 초음파 검사 필수
- 50세 이상
- 고혈압·당뇨·고지혈증
- 흡연
- 가족력
조기에 발견하면 뇌졸중 가능성을 절반 이하로 줄일 수 있습니다.
❓ 자주 묻는 질문 (FAQ)
Q1. 경동맥 협착증은 완치가 가능한가요?
A. 원인인 죽상경화 자체는 완전히 사라지지 않지만, 적절한 치료와 관리로 협착 진행을 막고 뇌졸중 위험을 크게 낮출 수 있습니다.
Q2. 수술이 무조건 필요한 기준이 있나요?
A. 일반적으로 70% 이상 협착 + 증상 있음 → 수술 또는 스텐트 권장.
Q3. 건강검진에서 발견될 수 있나요?
A. 일부 병원에서는 경동맥 초음파를 선택 옵션으로 제공하며, 매우 유용합니다.
Q4. 예방을 위해 어떤 음식이 좋은가요?
A. 오메가3 풍부한 생선류, 올리브유, 견과류, 채소, 통곡물이 도움됩니다.
경동맥 초음파 검사로 알수있는병, 결과까지 정리
🧠 경동맥 초음파 검사로 알 수 있는 병과 결과 해석까지 총정리"경동맥 초음파를 받으라고 하는데 왜 해야 하나요?""뇌출혈과 무슨 관계가 있나요?""검사 결과에서 '경동맥 협착'이라고 나오면
brainhackers.kr
협심증과 심근경색의 차이 꼭 알아야 할 심장 신호
"비슷해 보이지만 결과는 전혀 다른 두 심장질환" 심장 질환은 예고 없이 찾아와 우리의 삶에 큰 영향을 미칠 수 있습니다. 특히 협심증과 심근경색은 이름도 비슷하고 증상도 비슷하게 나타나
brainhackers.kr
협심증 치료방법 초기증상 놓치지 마세요
"가슴이 뻐근하거나 조이는 듯한 순간, 그냥 지나치지 마세요" 평소 가슴 중앙이 무겁게 눌리거나 답답한 느낌을 받은 적이 있다면, 단순한 피로나 스트레스 때문이라고 넘길 수 있습니다. 하지
brainhackers.kr
반응형'건강정보' 카테고리의 다른 글
옥수수 가루 활용법 효능까지, 제대로 알고 먹자 (1) 2025.12.24 콜라겐 먹는 시간 알고 계신가요? 흡수율 높이는 방법 공개 (0) 2025.12.23 니코틴산 아미드 효능 부작용 뜻, 복용 전 반드시 확인하세요 (1) 2025.12.20 경동맥 초음파 검사비용부터 위치·금식 여부까지 완벽 정리 (0) 2025.12.16 우족탕 효능 총정리, 피로 회복과 관절 건강에 좋은 이유 (0) 2025.12.14