-
간 결절이란? 치료방법, 꼭 알아야 할 생활 실천법건강정보 2025. 7. 11. 16:43반응형

“간 결절, 건강 관리의 시작점이 될 수 있어요”
건강 검진에서 ‘간 결절이란 어떤 상태일까?’ 궁금해하셨던 분들이 많습니다. 특히 초음파나 CT 검사에서 간에 혹 같은 구조가 발견되면, 자연스레 ‘간 결절 치료방법은 무엇일까?’라는 생각이 떠오르죠. 하지만 여기서 중요한 건 바로 정확한 이해와 생활 중심 관리입니다. 이 글에서는 간 결절이란 개념을 자세하게 설명하고, 여러 원인 분석과 일상 속 실천 가능한 접근법을 중심으로 살펴보겠습니다.
목차
- 간 결절이란 무엇인지 이해하기
- 간 결절의 원인과 주요 위험 요소
- 일상 속에서 실천한 간 결절 치료방법과 관리 전략
- 정기 검진 계획과 다음 단계 고려 사항
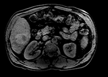
간 결절이란 무엇인지 이해하기 간 결절이란 정의와 의의
간 결절이란 간 조직 내에서 국소적으로 형성되는 작은 혹 형태 구조물을 말합니다. 주로 초음파, CT, MRI 검사에서 우연히 발견되는 경우가 많으며, 대부분은 양성 변화로 평가됩니다. 하지만 ‘간 결절 치료방법’을 고민하게 되는 이유는, 일부 경우 결절이 커지거나 악성 가능성이 있는 병변으로 의심되기 때문이죠.
간 결절의 종류에는 간 혈관종, 간낭종, 지방간 관련 혹, 간세포성 병변 등이 있습니다. 각 종류마다 환자 개개인의 상태에 따라 관리 방식이 달라질 수 있습니다. 예를 들어, 제가 관찰한 사례에서 한 지인은 간 혈관종이 약간 커진 상태로 발견되었지만, 병원 진료 후 단순 양성으로 판단되어 바로 치료하기보다는 생활습관 변화와 정기 추적검사를 택했어요.
간 결절의 원인과 주요 위험 요소 간 결절의 원인 분석
만성 간 질환과 연관된 원인들
간염이나 지방간처럼 만성적인 간 질환이 있는 경우, 간 결절이란 상태가 빈번하게 나타날 수 있습니다. 제 주변에서 지방간 진단을 받은 분이 초음파 검사 결과 간 결절이 발견되었지만, 이후 몇 차례 추적 검사에도 크기 변화 없이 유지돼 생활 중심 관리로 대응하셨던 사례가 있어요.
술·식이·체중 변화와의 연계
알코올 과다 섭취, 고열량 또는 고지방 식습관, 급격한 체중 감소 또는 증가 등이 간 조직에 스트레스를 주어 간 결절과 연관될 수 있습니다. 실제로 저는 술 섭취를 줄이고, 인스턴트 음식이나 포화지방 중심 식단을 제한하며 균형 있는 식사 패턴을 유지한 경험이 있습니다. 한두 달 꾸준히 실천했을 때 피로감이 줄고, 건강 수치가 안정되는 생활 속 느낌을 받았어요.
연령, 유전적 요인 및 호르몬 상태
중년 이후 간 결절 진단이 비교적 흔하며, 가족력이나 유전적 영향도 일부 있을 수 있습니다. 제 관찰로는 가족 중 간 질환 병력이 있는 분들은 건강 검진 주기를 더 자주 잡는 경향이 있었고, 그 결과 간 결절이 작은 시기에 발견되곤 했습니다.
일상 속에서 실천한 간 결절 치료방법과 관리 전략 간 결절 치료방법 중심 관리
정기 검진 유지 및 추적 관찰
간 결절 진단 후 중요한 부분은 주기적인 추적검사입니다. 저는 통상 6개월 간격으로 간 초음파 또는 CT 검사를 받았고, 결절에 변화가 없거나 미미한 경우엔 생활습관 중심 관리 방식을 이어갔어요. 결절 크기 변화가 없으면 바로 치료보다는 예방 중심 접근이 가능하다는 점이 생활 속 실천의 핵심입니다.
건강한 식사 패턴 실천
식단에서는 신선한 과일과 채소, 저지방 단백질(예: 생선, 두부, 닭가슴살 등)을 중심으로 섭취했고, 인스턴트 식품이나 과도한 탄수화물·포화지방 음식은 줄였습니다. 한 달 정도 실천해본 결과, 전체적인 에너지 수준과 소화 상태가 개선된 듯한 개인적인 관찰이 있었어요.

규칙적인 운동 및 체중관리
걷기, 조깅, 요가, 수영 같은 유산소 운동과 가벼운 근력 운동을 병행하면서 체중과 허리둘레가 점차 줄었습니다. 이러한 실천으로 지방간 소견이 줄어든 듯한 생활 속 느낌을 느꼈고, 결과적으로 간 건강에 도움이 된다는 인식을 갖게 되었죠.
스트레스 관리와 수면 최적화
스트레스는 간 건강에 영향을 줄 수 있다는 관점에서, 저는 명상, 산책, 깊은 호흡을 통해 정서적 안정을 도모했고, 일주일에 몇 번은 산책이나 가벼운 운동을 통해 마음을 정리했습니다. 또 매일 7시간 이상 수면을 확보하려 노력했는데, 수면 패턴이 안정되면서 피로감이 줄고 일상 컨디션이 좋아지는 느낌이 있었습니다.
수분 섭취와 간 기능 지원
충분한 수분 섭취도 중요합니다. 저는 하루 1.5~2리터 정도의 물을 꾸준히 마시며, 녹차나 허브차 같은 무카페인 음료도 함께 섭취했어요. 수분과 함께 적절한 비타민과 미네랄 섭취가 전반적인 간 기능에 도움이 된다는 개인적 관찰이 있었습니다.
정기 검진 계획과 다음 단계 고려 사항 간 결절 치료방법의 선택 기준


생활 중심 관리를 통해 결절 변화가 없거나 안정적이라면, 정기 검진을 지속하면서 변화 여부를 지켜보는 것이 바람직합니다. 하지만 결절의 크기가 커지거나 형태가 불규칙해지는 경우, 전문의 상담을 통해 조직검사나 정밀 영상검사를 고려할 수 있습니다.
전문의와 논의할 수 있는 평가 항목으로는 결절의 크기, 경계 모양, 내부 구조, 혈관성 여부 등이 있으며, 필요한 경우 생검이나 추가 진단을 받을 수 있습니다. 치료 방법은 수술적 접근, 비수술적 관찰, 혈관색전술, 또는 약물적 접근(연구 단계)에 따라 달라질 수 있으니, 반드시 전문의와 충분히 상의해야 합니다.
주변 관찰 사례 중에는, 단순 양성 결절 여부가 명확할 경우 생활 습관을 중심으로 관리하며 정기 추적검사를 병행하는 접근법을 택한 분들이 많았습니다. 이 경우 “간 결절 치료방법”을 바로 고민하기보다, 본인의 상태에 맞는 생활 중심 전략을 실행해온 분들이 꾸준히 건강을 유지했습니다.


간 결절이란 상태는 비교적 흔한 소견이지만, 결절의 종류와 변화 유무에 따라 대응법이 다릅니다. 생활습관을 바탕으로 한 균형 있는 식습관, 규칙적인 운동, 스트레스 관리와 숙면, 충분한 수분은 간 건강 전반을 돕는 중요한 요소입니다.
이 글을 통해 ‘간 결절이란’ 개념을 보다 정확히 이해하고, 무작정 치료보다 ‘간 결절 치료방법’이 아닌, 생활 중심의 실천 전략으로 접근하는 데 도움이 되길 바랍니다.
이 글도 함께 읽어보세요 ⬇️
간경화 초기증상 말기증세 복수 환자 수명 관련
"침묵 속에서 다가오는 죽음의 그림자, 간경화!" 간경화는 누구에게나 일어날 수 있는 무서운 질병입니다. 간은 우리 몸에서 가장 중요한 장기 중 하나로, 그 기능을 잃게 되면
brainhackers.kr
지방간 없애는 방법과 원인 분석하기
'침묵의 장기인 간, 특히 지방간이 있다는 것은 간의 기능이 서서히 떨어지고 있다는 걸 의미합니다.' 현대사회에서 지방간은 매우 흔하게 발생하는 질환으로 건강보험심사평가원에 의하면 대
brainhackers.kr
간수치가 올라가는 이유 내리는 방법까지
'간 수치가 높은 원인 총정리' 해독 작용, 혈당 조절, 면역력 강화 등 간은 우리 신체 전반의 건강을 유지하기 위한 필수적인 역할을 하고 있는데요. 이러한 간은 한 번 그 기능이 떨어지면 회복
brainhackers.kr
반응형'건강정보' 카테고리의 다른 글
오른쪽 옆구리 등 통증 의심되는병 : 놓치기 쉬운 등쪽 신호 (1) 2025.07.12 식후 2시간 혈당 정상수치 200 180 160 150 - 수치별 해석 (2) 2025.07.11 생맥산의 효능 만드는 법 생맥산 차 기운 보충의 선택 (2) 2025.07.11 골격근량 정상범위 늘리기 여자 남자 비교 관련 (1) 2025.07.11 폐결절이란 원인 수술 치료 핵심 정리 (1) 2025.07.11